| 发表人 |
内容 |
|
|
来源:中时新闻网
不少人以为只有炒菜油烟才会伤肺,但其实就算“水煮”也会产生对肺有害的物质。胸腔内科医生林伟群指出,不少人对油烟有警戒心,但对水气却毫无防备,只要有加热与沸腾的动作,就会产生大量由液态小水滴构成的“气溶胶”,这些颗粒比PM2.5更细小,会包裹粉尘、细菌、锅具表面的化学微粒,长驱直入肺泡,因此,即使用电磁炉水煮,也不能忽略厨房通风的重要性,务必开启抽油烟机,关火后继续多抽5分钟。
罗东博爱医院胸腔内科医生林伟群在脸书粉专“林医生的肺癌管理学”指出,加热与沸腾会产生大量气溶胶(Aerosol),这是一种悬浮在气体介质中的固体或液体微粒,当水沸腾时,水滴会包裹住厨房中残留的粉尘、细菌、锅具表面的化学微粒。
林伟群指出,气溶胶颗粒比PM2.5还来得细小,会长驱直入肺泡,而肺部对化学刺激的反应是有累积性的,电磁炉水煮虽没明火,也没黑烟,但并不代表无化学位移,气溶胶就是隐形载体。因此,就算用电磁炉水煮,也要做到强效通风、开启抽油烟机。
林伟群指出,抽油烟机的功能不只是吸油,更是要吸走过载的湿气与携带杂质的气溶胶,建议即使使用电磁炉,关火后仍要开启抽油烟机续抽5分钟,将残馀在天花板与角落的细微气溶胶彻底排空。开启抽油烟机时,也要开启远处的窗户,但记得要关上厨房通往客厅的门。
|
 |
|
|
来源:搜狐健康
你有观鸟的爱好吗?《神经科学杂志》2026年2月发布一项有趣的研究发现,观鸟者往往拥有更强的认知与记忆能力,大脑功能更出色。
课题组分别招募了29名专业观鸟者和新手爱好者,对他们的大脑皮质层做磁共振检查。
结果表明,专业观鸟者大脑中与注意力、感知力相关的区域,结构更紧密、更复杂,且这种差异与鸟类识别能力直接相关。
专家解释,观鸟不仅需要敏锐的视觉,更依赖良好的记忆力与长时间专注力,这些行为会持续刺激大脑神经。相比音乐、阅读等静态健脑方式,观鸟所处环境多变、不确定性更强,对感知、专注与记忆的要求更高,能更持续地激活大脑。
进一步测试还发现,老年专业观鸟者的面部识别能力,显著优于同年龄段新手,这也印证了大脑结构的改变,确实能提升日常记忆与认知水平。
不过研究者也指出,本身视力、专注力与记忆力更优的人群,或许更容易被缤纷的鸟类吸引,进而坚持观鸟并成为资深爱好者。究竟是更聪慧的人选择观鸟,还是观鸟让大脑更敏锐?这仍是一个值得探讨的有趣问题。
|
 |
|
|
来源:TVBS
许多人为长白发感到困扰,但日本最新研究显示,长白发可能代表身体正在启动“抗癌机制”。 研究指出,当黑色素干细胞严重受损时,会启动一套“自我毁灭”程序,导致它停止供应头发所需的黑色素,形成白发。 相反地,若这些受损细胞没有被清除,仍持续分裂与自我更新,最终可能演变为黑色素瘤。
黑色素干细胞是什么? 长白发、长肿瘤都与它有关
黑色素干细胞是一种组织干细胞,能分化成成熟的黑色素细胞,为头发与皮肤提供色素。 在哺乳动物中,这些干细胞位于毛囊的“隆突区”,以未成熟黑色素母细胞的形式存在,并透过周期性再生维持供应色素。
东京大学医学团队在《自然细胞生物学》(Nature Cell Biology)发表的研究中指出,当DNA受损时,毛囊内的黑色素干细胞可能落入两种不同命运——分化并退出系统,使毛发失去色素而变白,或是持续自我更新及复制,最终导致形成黑色素瘤,也就是一种皮肤癌。
身体自动毁灭受损细胞 预防肿瘤
人体DNA长期暴露于环境压力下会不断受损,但过去科学家未完全理解受损干细胞对组织健康的长期影响。 这项研究利用小鼠模型,揭示黑色素干细胞在面对不同类型DNA损伤时的反应。
研究发现,当黑色素干细胞遭遇如DNA双股断裂等严重损伤时,体内的肿瘤抑制机制“p53–p21路径”会被启动,使受损细胞进入“衰老耦合分化”过程,最终分化并消失。 由于这些细胞负责制造黑色素,它们的消失也会让头发变白。
但在某些情况下,例如接触致癌物或紫外线B光(UVB)时,受损干细胞可能绕过这条防护路径,持续自我更新并大量复制,最终它们不但没有被清除,还会导致肿瘤化风险升高,可能发展为黑色素瘤。
理解白发根源 开启治疗皮肤癌新方向
研究主持人西村荣美教授表示,结果显示同一群干细胞会根据承受的压力类型与环境讯号不同,走向“耗竭”或“扩张”两种命运。 她指出:“这项研究重新定义了长白发与黑色素瘤的关系,它们其实是干细胞在压力反应下的两种不同结果,而非毫不相关的现象。”
不过,研究并非表示“长白发就能防癌”,而是揭示两者皆源于同一种干细胞的不同命运:长白发代表肿瘤抑制机制成功启动; 长黑色素瘤则代表这套机制失灵。
这项研究让人类重新理解白发与癌症的关联,也为未来皮肤癌的预防与治疗开启新方向,例如透过找出有效启动“p53–p21路径”的方法,或许能更早阻止形成黑色素瘤。
|
 |
|
|
来源:保健时报
“早起一杯水”,相信大家对这句话已经非常熟悉了。但是这第一杯水到底应该怎么喝?
早晨喝水,是因为身体需要
夜间睡觉时没有人会起来定时饮水,但此期间,人体的血液的流动、呼吸、泌尿、肠胃的运动及组织细胞的代谢从未停止,这些生理活动除了需要耗氧,还需要耗水。
所以,即使早上起床后没有口渴的感觉,大家也应该喝点水。
特别是对于中老年人来说,喝水可以增加血液中的水分起到降低血液粘度,有利于血液循环。
有些水,喝了还不如不喝
早上第一杯水至关重要,但是很多朋友早起却喝错这杯水,那样,真的还不如不喝。
冰水,最好别喝
很多朋友喜欢早起喝一杯冰水来提神,这是非常伤胃的!
从中医的角度来讲,早晨人体的阳气开始生发,到了中午时阳气最盛,就像是生火一样,火苗会由小变旺。
所以早晨的阳气是需要呵护的,只有呵护好了,我们一天的阳气才能充足。
此时,一杯凉水下肚,很容易“浇灭”阳气,日久就会导致阳气不足,阳虚生内寒,就会产生疾病。
从西医的角度来看,喝冰水容易引起胃黏膜血管收缩,影响胃粘膜供血而削弱消化功能,甚至引起胃肠痉挛,引致腹痛、腹泻。
此外,冰水会刺激咽喉咙,对寒冷的过敏反应,引起咽喉不适,甚至咳嗽咯痰。
茶水,得慢慢喝
中国是茶文化的发源地,很多人都喜欢喝茶,且合理喝茶确是益处良多,正如民间所说“清早一壶茶,不用找医生”的说法。
但喝茶重点应该是在一个“品”字,就是小口慢慢喝,且是即冲即喝,喝热茶。这样才有利于胃肠的消化吸收。
如果早上您大口大口地、空腹喝隔夜茶,那么不仅不能补充水分,还会因茶的利尿作用引起血容量不足影响血液循环。
此外,隔夜的茶水里还会因为久放被细菌污染而变质,喝多了会导致胃肠道感染。
饮料,千万躲远点
早上起来的第一杯水最好不要喝市售的果汁、可乐、汽水、咖啡、牛奶等饮料。
因为这些食物并不能提供此时机体最需要的水分,还会使机体在缺水的状态下就让胃肠进行消化和吸收工作,不利于身体的健康。
而且,一些饮料有促进排尿的作用,清晨饮用非但不能有效补充机体缺少的水分,还会增加机体对水分的要求,反而造成体内缺水。
淡盐水,升压利器
古时中医就提出过“朝朝盐水、暮暮蜜糖”的养生之道,这是因为,咸入肾,“肾为先天之本”,早上吃点咸的,可以激发肾气,提振全身元气,让人一天都精神百倍!
但是,淡盐水却不适合饮用。
因为,早晨是人体血压升高的第一个高峰,当血液粘稠度增加时,饮用盐水会加重口干,使血压升高,有害健康。
此外,营养学会提出盐每天的摄入量是6克,一汤勺的盐大约是10克,我们现代人常常超标摄入盐,这样会不断加重我们心血管的负担。
蜂蜜水
有些人认为经常早起空腹喝蜂蜜水,可以起到润肠通便作用。
但是,对于绝大多数无便秘者,喝多了会引起腹泻,尤其是果糖不耐受者更容易引起腹泻。
此外,蜂蜜是果糖、葡萄糖,均为单糖,吸收快,喝多了会引起血糖升高。
尿酸高的人群也不适合喝蜂蜜水,因为蜂蜜是高糖高热食物,在体内最终分解成尿酸,促进内源尿酸的合成,诱发痛风发作。
应该喝什么?
白开水是最佳选择。
经过煮沸的水中,微生物已经在高温中被杀死,而开水中的钙、镁元素有预防心血管疾病的作用,对身体健康是很有益的。
什么温度最好?
晨起喝点40℃~50℃的温开水,而不是喝“滚水”。
食管粘膜正常耐受温度约为40℃~50℃,超过65℃危害很大,可能造成损伤、溃烂等问题。
喝多少最合适?
喝水一定要根据自己的体质、消化能力、季节因素来调节。主要以自己不渴、口唇不干为好,100~300毫升都可以,要一口一口慢慢地喝,否则会损伤脾胃,导致水湿内停。
|
 |
|
|
来源: 健康网
许多人认为,想要追求健康长寿,一定要花时间、靠意志力规划饮食、运动与作息,才能达成目标,结果往往不了了之或以疲惫收场。药时事表示,澳洲雪梨大学团队研究指出,其实每天只要多睡5分钟、快走2分钟,再搭配多吃半份蔬菜,长期下来,也可能替自己“多赚”1年寿命。
想健康长寿,一定得要生活大改造?药时事于脸书专页发文指出,雪梨大学研究团队于2026年1月在《柳叶刀》(The Lancet)旗下期刊《eClinicalMedicine》发表的1项研究,分析近6万名UK Biobank受试者资料,平均追踪约8年,评估睡眠、活动量与饮食品质对寿命(lifeSPAN)与健康寿命(healthSPAN)的影响。结果显示,只要从睡眠、活动量与饮食3个面向同步改善,寿命与健康寿命都有机会延长。
药时事指出,该研究最打中忙碌上班族的是,对于原本作息不佳、运动量低、饮食品质较差的人而言,若每天能执行以下3件事,寿命便可能增加约1年:
早5分钟放下手机睡觉:不是要你立刻晚上10点睡,而是先把入睡的第一步往前推。
活动多2分钟MVPA:如提早一站下车快走、午休去爬2层楼梯、回家前绕一个街口。
饮食每天多半份蔬菜:饮食不必完美配餐,甚至只要多加一小碟青菜或便当多夹两口蔬菜。
研究并强调,关键在于睡眠、运动与饮食这3项习惯的组合效应。举例来说,睡眠不足可能造成食欲失衡、偏好高热量食物,更难好眠;疲累不想活动,也会影响夜间睡眠品质。另,饮食品质不佳,则可能增加发炎与代谢压力,导致白天精神差,更不想活动。若三者持续同步改善,比单一改变更有累积效果,也足以改写长期曲线。
不过,药时事也提醒,这并非保证延寿1年,而是将机率推升。因为,研究提供的是大量人群资料估算趋势与关联,但不是对个体的保证。但它代表不需要等到有空闲时才能执行,也不需逼自己极端自律,只要先从最最容易做到的开始,让改变成为生活预设值,未来或可带来件健康回报。
|
 |
|
|
来源:中时新闻网
你是仰睡派、趴睡派,还是侧睡派?最新研究指出,睡姿不只影响睡眠品质,还可能左右你的梦境内容。多项科学研究发现,习惯左侧卧睡的人,更容易做恶梦,梦境也更加离奇、鲜明,成为一种令人意想不到的“副作用”。
网站《YourTango》报道,一项2004年的研究针对63名受试者进行测试,要求他们仅以左侧或右侧入睡,并在醒来后填写详细问卷,内容包括睡眠品质、梦境内容、记得多少细节,以及醒来时的感受。结果显示,将近41%的左侧睡者表示曾做过令人不安的梦,相比之下,右侧睡者出现恶梦的比例不到15%。
研究还发现,虽然右侧睡者整体睡眠品质较差,但他们的梦境内容普遍较为愉快,多与安全感或解脱感相关。左侧睡者则更容易出现情节强烈、画面鲜明,甚至令人不适的梦境。
尽管该研究样本数仅63人,且资料来自自我回报,科学家仍认为,睡姿确实可能影响睡眠期间的大脑活动模式,进而改变梦境体验。
此外,其他研究也指出,趴睡者同样容易做恶梦。 2012年香港树仁大学一项涵盖670名受试者的研究发现,脸朝下睡觉的人更容易梦到窒息、无法呼吸、被囚禁或无法动弹等情境,也更常出现不明飞行物或成人主题的梦境。
专家表示,睡姿可能会改变呼吸模式、压迫感与神经反应,进而影响大脑在快速动眼期(REM)时的运作。虽然仍需更多大型研究验证,但现有证据显示,若你总是做恶梦,也许可以先从调整睡姿开始。
换句话说,下一次醒来发现梦境特别“精彩”,或许不只是压力作祟,而是你的睡姿正在悄悄发挥作用。
|
 |
|
|
来源:新浪头条
30岁是为70岁健康“存养老金”的黄金期,科学锻炼、口腔护理、规律睡眠和均衡饮食这四件事,是决定老年阶段能否高质量生活的核心投资。
一、科学运动:延缓肌肉与骨骼衰退
必要性:30岁后肌肉量以每年0.5%-1%流失,骨密度达峰值后下降,运动可减缓衰退速度。
关键措施:
抗阻训练:每周3次深蹲、平板支撑等力量训练,维持肌肉代谢能力。
有氧运动:每日快走15分钟或每周150分钟中强度运动(如游泳、羽毛球),降低老年跌倒风险30%以上。
二、口腔健康:预防全身性疾病的隐形防线
关联疾病:牙周病细菌可能侵入血液循环,增加阿尔茨海默病和心血管疾病风险。研究显示,老年痴呆患者口腔致病菌检出率显著高于健康人群。
关键措施:
每日刷牙两次+使用牙线清洁牙缝,每年1-2次专业洗牙。
三、睡眠与戒瘾:稳定代谢基因的核心
睡眠管理:23点前入睡并保证7小时睡眠,长期熬夜<6小时会加速蛋白质降解,导致免疫力下降和皮肤老化。
戒瘾控酒:酒精破坏DNA修复机制,男性日酒精摄入<30g,女性<15g;戒烟可降低17种癌症风险。
四、营养优化:抗炎抗氧化的长寿基石
饮食原则:
优质蛋白:每日摄入≥1.6g/kg体重(鸡蛋、深海鱼、豆类),维持肌肉和皮肤弹性。
植物性食物为主:深色蔬果(菠菜、蓝莓)和全谷物占每日饮食50%,抑制慢性炎症。
轻断食辅助:每月1-2次16:8断食(8小时内进食),激活细胞自噬修复。
科学依据与长期收益
生理转折点:30岁后代谢率下降12%,蛋白质组波动加速细胞损伤,此时干预效果最优。
长期效果:
坚持五项习惯(不吸烟/酗酒、运动、健康饮食、体重正常)可延长预期寿命8.1–8.8年。
即使50岁后开始健康管理,仍可显著降低老年疾病风险。
|
 |
|
|
来源:复禾健康
手里握着超市冷藏柜里的牛奶和酸奶,是不是总在纠结该宠幸哪一位?这对乳制品界的"顶流CP"各有各的粉丝团,有人迷恋酸奶的酸甜暴击,有人钟情牛奶的丝滑纯粹。其实它们就像健身房里撸铁和瑜伽的关系,看似竞争实则互补。
一、营养价值的较量
1.蛋白质含量对比
每100毫升全脂牛奶约含3.2克蛋白质,同等份量的原味酸奶则有3.5克左右。经过发酵工艺的酸奶会产生更多活性肽,这些"蛋白质碎片"更容易被肠道识别吸收。
2.钙质吸收效率
牛奶的钙含量略胜一筹,但酸奶中的乳酸就像钙质的"专属快递员",能帮助矿物质穿透肠壁。乳糖不耐受人群用无糖酸奶补钙,相当于找到了钙吸收的VIP通道。
3.维生素家族
两种饮品都携带维生素B2和B12.不过酸奶经过发酵会额外产生少量B族维生素。但高温灭菌的常温酸奶会损失部分娇气的维生素,这点和巴氏杀菌的鲜奶处境相似。
二、消化系统的友好度
1.乳糖消化难题
牛奶里完整的乳糖分子就像顽固的拼图,需要人体分泌.乳糖酶来分解。而酸奶中的乳酸菌早就把30%的乳糖预消化了,相当于给消化系统开了外挂。2.肠道菌群助攻
活性酸奶中的益生菌是肠道原住民的盟友,不过要注意冷藏酸奶才住着这些"微生物特工"。常温酸奶经过热处理后,菌群活跃度会打折扣。
3.胃酸耐受测试
酸奶的PH值在4.0-4.6之间,比牛奶更接近胃酸环境。空腹饮用时,酸奶形成的凝乳较细小,不像牛奶可能结成大块刺激胃壁。
三、日常场景适配指南
1.早餐优选方案
牛奶搭配谷物时能延缓血糖上升,酸奶则适合搭配坚果增加饱腹感。乳糖不耐者可以把牛奶换成零乳糖版本,或者选择发酵时间更长的希腊式酸奶。
2.运动前后补给
运动后30分钟内,牛奶里的乳清蛋白吸收速度略快。但酸奶含有更多支链氨基酸,对肌肉修复同样有效。乳清蛋白粉爱好者可以试试用无糖酸奶代替部分冲泡饮品。
3.控糖人群选择
市面上一杯风味酸奶可能含20克添加糖,比可乐还凶猛。学会看营养成分表,选择碳水化合物≤6克/100ml的无糖酸奶,或者直接购买菌粉自制。
其实没必要非此即彼,牛奶和酸奶完全可以像咖啡和茶那样轮番登场。肠胃敏感期选酸奶,增肌需求高时喝牛奶,乳糖不耐就选无乳糖产品。重要的是养成每天300-500ml乳制品的习惯,让这些白色液体成为健康生活的背景音乐。
|
 |
|
|
来源: ETtoday
全球保险业者Vitality与伦敦政治经济学院(LSE)最新研究显示,只要掌握2个简单的睡眠习惯,就能让寿命延长4年,每年还可省下287美元医疗支出。
追踪4700万笔数据 睡满7小时降低早逝风险
《纽约邮报》报道,Vitality健康部门副执行长特赖恩(Katie Tryon)指出,“睡眠长期被视为临床议题,但从未被当作像运动一样的日常习惯来追踪改善。”这项分析追踪逾4700万笔睡眠数据后发现,每晚睡足7小时并在固定时间范围内就寝,可大幅降低24%早逝风险,住院机率更减少7%。
每3人就有1人睡不够 固定就寝时间更关键
研究揭露,目前每3人之中就有1人每晚睡眠不足7小时,这些人的早逝风险比睡满7至8小时者高出20%。更关键的发现是,固定就寝时间的重要性甚至超越睡眠时数。若能在每晚同一时段的1小时范围内入睡,早逝风险可降低31%,住院率减少9%。
4招改善睡眠品质 睡前1小时远离手机
研究团队提出4项改善睡眠建议,包括坚守固定就寝时间、建立一套放松身心的流程、睡前1小时远离电子设备并使用装置追踪睡眠。特赖恩强调,“每晚提早15分钟上床,或选择看书而非多看一集影集,长期下来就能显著改善睡眠品质。”
省医药费又增生产力 员工病假最多减6天
Vitality指出,遵循这些建议不仅能促进健康,还能因减少住院次数,每人每年节省最多287美元。企业也将受惠,估计员工每年因病假缺勤天数可减少达6天。LSE健康经济学教授科斯塔(Joan Costa-i-Font)表示,这对生产力的影响不容小觑。
|
 |
|
|
来源:TVBS
癌症长期为国人十大死因第一名,每年夺走无数民众宝贵性命,如何攻克各种类型的癌症,成为医界重要课题,而台中市中国附医近日宣布,与生技公司研发全球首创EXO 001靶向外泌体平台,可生成具多靶向辨识能力的纳米抗体CAR-T细胞,目前在多项实体癌动物实验中展现疗效,甚至可完全清除癌细胞,包括肺癌、胰脏癌、大肠直肠癌、恶性脑瘤,预计最快于明年初启动临床试验,为癌症治疗带来全新策略。
制造抗体细胞耗日费成本 新研究重大进展
中国附医院长周德阳说明,现行的CAR-T细胞皆需仰赖繁琐且耗时的体外细胞制程,且还要面临免疫排斥、制造失败与成本高昂的问题,对于又快又急的癌症,根本缓不应急。
周德阳表示,此次“EXO 001”设计核心,是把纳米抗体 CAR. BiTE 基因精准递送至T细胞,在病人体内完成免疫编程,训练T细胞转化为多靶向CAR-T细胞,再由这些体内生成的CAR-T细胞,主动进入实体肿瘤内部,毒杀癌细胞并瓦解肿瘤微环境。
4大癌细胞全杀光 长期无复发
周德阳说明,研究团队在进行动物实验时,证实EXO 001可在体内有效生成CAR-T细胞,并能抑制肿瘤生长,部分动物更出现癌细胞完全消失、长期无复发的成果
同时周德阳强调,研究成果已获国际权威期刊接受刊登,并取得美国等多国专利,技术已完成技转,目前正进行制程开发与临床试验筹备,预计最快于明年初启动临床试验,应用于大肠直肠癌、胰脏癌、恶性脑瘤与卵巢癌等实体癌患者,为末期癌症治疗带来崭新希望。
|
 |
|
|
来源:复禾健康
听说你每天靠一杯茶续命?先别急着往杯子里加茶叶!有些茶喝多了可能悄悄给肝脏"加班",尤其是这7种被研究点名的类型。肝脏可是咱们身体的"沉默劳模",等它真抗议起来可就不是少喝两杯能解决的了。
一、发酵不当的劣质普洱茶
1.霉变风险藏得深
存储环境潮湿的普洱茶可能产生黄曲霉毒素,这种强致癌物1毫克就能让肝细胞大面积坏死。掰开茶饼发现有霉斑或闻到陈腐味,别心疼直接扔。
2.做旧工艺的猫腻
部分不良商家用高温高湿加速发酵,会产生伤肝的赭曲霉毒素。遇到价格低得离谱的"十年陈普洱",最好绕道走。
二、农残超标的绿茶
1.早春茶的隐患
为赶早市价,某些茶园会过量使用杀虫剂。建议选择谷雨后的茶叶,虫害少农残风险更低。
2.冲泡方式有讲究
第一泡茶汤倒掉能去除30%以上表面农残,别觉得浪费,这可比护肝片便宜多了。
三、含添加剂的调味茶
1.香精茶的甜蜜陷阱
某些水果茶喝着像糖水,实则是香精+糖浆的混合物。长期摄入会增加脂肪肝风险,还不如直接吃新鲜水果。
2.染色茉莉花的把戏
特别鲜艳的茉莉花茶可能用硫磺熏制,泡完茶水半天不褪色就要当心,这种茶喝多会加重肝脏解毒负担。
四、浓如酱油的老茶头
1.茶多酚过量伤肝
茶叶闷泡超过8小时,茶多酚氧化成伤肝的茶锈。办公室久泡的茶汤颜色发暗就该换新茶叶了。
2.重金属析出风险
老茶树的根部容易富集土壤中的铅砷,煮茶时间过长会让重金属溶出。看到茶汤表面有金属膜就别喝了。
五、来历不明的野生茶
1.有毒生物碱隐患
部分野生茶树含有肝毒性生物碱,不是所有"古树茶"都安全。没有检测报告的野生茶,再稀有也别尝试。
2.土壤污染不可控
长在矿区附近的野生茶可能含镉汞等重金属,肝脏代谢这些毒素要加班加点工作。
六、隔夜发酵的冷泡茶
1.细菌培养基地
室温放置超6小时的冷泡茶,微生物数量呈指数增长。肝脏处理这些毒素的工作量堪比程序员连夜改bug。
2.亚硝酸盐问题
虽然达不到中毒量,但长期喝隔夜茶会增加肝脏转化亚硝酸盐的负担。冷泡茶放冰箱也别超过12小时。
七、工业茶包里的秘密
1.碎茶中的农残浓缩
茶包用的碎末茶更容易溶出农药残留,选择能看到原叶的三角包更稳妥。
2.塑料茶包的隐患
高温冲泡某些廉价茶包会释出微塑料,肝脏处理这些异物可比分解茶叶费劲多了。
其实避开这些伤肝茶并不难,记住三个原则:异味茶不喝、浓茶不过量、来历不明茶不尝。肝脏每天要处理500多种化学反应,咱们就别再给它增加额外KPI了。下次泡茶前,先想想你的肝脏正在后台默默为你付出的那些事。
|
 |
|
|
来源:中时新闻网
一项最新研究指出,补充维生素D可能与延缓细胞老化有关,进而有助于健康老化与延长寿命。 研究显示,每日补充维生素D3,可能减缓端粒缩短速度,而端粒被视为衡量人体生物年龄的重要指标之一。
该研究刊登于《美国临床营养学期刊》(The American Journal of Clinical Nutrition),研究团队追踪超过1,000名健康成年人,包括55岁以上女性与50岁以上男性,为期四年。 结果发现,相较于服用安慰剂的族群,每日补充2,000国际单位(IU)维生素D3的受试者,其端粒缩短速度明显较慢,显示细胞老化可能出现可测量的减缓。
专家指出,端粒是位于染色体末端的保护结构,在细胞分裂过程中负责保护DNA,但会随年龄增长逐渐缩短。 一旦端粒缩短过快,细胞可能无法正常分裂,增加心血管疾病、癌症及早期老化的风险。
研究人员推测,维生素D之所以可能具有保护作用,与其抗发炎效果、免疫调节能力,以及维持细胞功能有关,特别是对粒线体健康的影响。 粒线体被称为细胞的“能量工厂”,其功能良好有助于维持代谢、身体韧性与脑部功能。 此外,维生素D也可能促进谷胱甘肽生成,降低氧化压力,减少细胞损伤。
不过专家也提醒,该研究仍存在限制,包括受试者族群在健康与人口背景上的多样性不足,仍需更多研究进一步验证结果。 营养专家指出,虽然研究设计属于较具可信度的随机临床试验,但尚不足以单独作为长寿的决定性因素。
专家建议,若考虑补充维生素D,应先咨询医生并检测体内浓度,同时维持均衡饮食、规律运动、充足睡眠与活跃社交等健康生活习惯。 人体也可透过适度日晒自然生成维生素D,但仍应注意防晒。 医界强调,膳食补充品并非药物,不能用于治疗或预防疾病,孕妇、哺乳期妇女及儿童使用前应特别谨慎。
|
 |
|
|
来源:健康时报
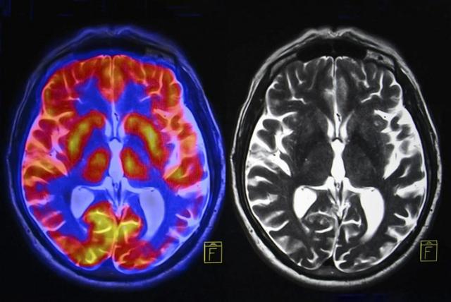
帕金森氏症是1种进行性神经系统疾病,全球患者超过1000万人。它会导致一系列残疾症状,包括震颤、运动障碍、睡眠问题以及思维衰退。现有治疗方法,例如长期药物治疗和侵入性脑深部刺激术(DBS)可缓解症状,但无法阻止疾病恶化或治愈。 1项国际合作研究可能找到帕金森氏症真正病因和如何治疗。该研究发表在《自然》期刊上。
根据科学网站《SciTechDaily》报道,由中国昌平实验室牵头,联合美国圣路易斯华盛顿大学医学院及其他机构的国际研究团队,发现1个与巴金森氏症核心症状相关的躯体认知动作网络(SCAN)。 SCAN位于运动皮质(大脑中控制自主运动的区域)内,负责将行动计划转化为实际动作,并监控这些动作的执行过程。
因帕金森氏症的影响远不止于运动,也会影响消化、睡眠、动机和认知,研究团队决定研究SCAN的异常是否能够解释疾病的广泛症状,并提供新的治疗标靶。
为了验证此想法,研究团队分析了来自美国和中国800多名参与者的多种脑部影像数据。该研究纳入了接受脑深部电刺激(DBS)或非侵入性疗法(如经颅磁刺激、聚焦超音波刺激)的巴金森氏症患者。此外研究也纳入了健康志愿者和其他运动障碍患者作为对照组。
研究发现,巴金森氏症1个显著特征是SCAN与皮质下区域(大脑中负责情绪、记忆和运动控制的区域)之间存在异常强的连结。采用的疗法若能降低过度连结,就能展现出最佳疗效。研究团队确认,经颅磁刺激疗法较有效。用该疗法刺激患者SCAN时,症状改善程度是刺激邻近脑区的2倍以上。
该研究共同作者、华盛顿大学医学院神经病学教授多森巴赫(Nico U. Dosenbach)表示, 研究显示巴金森氏症是1种与SCAN相关的疾病。数据有力表明,如果以个人化、精准的方式靶向SCAN,就能比以往更有效地治疗帕金森氏症。
多森巴赫强调,改变SCAN内的活性不仅可以缓解症状,还可以延缓甚至逆转疾病的进展。
研究发现大脑的躯体认知动作网络与帕金森氏症相关,此发现可能改变巴金森氏症治疗方式。 (撷自Shutterstock)
|
 |
|
|
来源:搜狐
“他才41岁,就当痔疮拖了半年,结果一查……全家都傻了眼!”前几天门诊,一个男人进来时还在强撑:“医生,我就是大便带点血,可能痔疮吧?最近工作忙,拖着没管。”我问他:“血是鲜红还是暗红?有没有大便变细、排便习惯改变?”他愣了一下:“最近确实老觉得排不干净,还时不时腹胀,但我以为是上火。”做完检查,他脸色变了。不是痔疮。是肠道里那个“东西”已经长得不客气了。
最让人遗憾的是——
结直肠癌很多时候不是突然来的,而是你每天吃进去的东西,一点点把肠道推向深渊。
今天这篇文章,医生就用最直白的话说清楚:
为什么“肠癌越来越多、越来越年轻”?
为什么我宁可你喝一碗清淡的白粥,也别贪嘴那 3 类“肠道杀手”?
每天“超800人”死于肠癌,是危言耸听吗?
很多人听到“每天超800人”,第一反应:夸张吧?
但你换个算法,就不笑了:
中国有权威统计提到,结直肠癌死亡人数曾达到约28.6万/年,折算下来每天约780人(28.6万 ÷ 365 ≈ 783)。
也就是说:“超800人”可能因口径不同会有浮动,但**“接近800人/天”**这件事,并不离谱。
更扎心的是:肠癌不是“老年病专属”。年轻化趋势在全球都在被反复讨论,筛查起始年龄也因此被下调。比如美国已把平均风险人群的筛查起始年龄下调到45岁。
肠癌最可怕的地方:不疼不痒,却能“熬”到你来不及
医生苦劝的“3物”:你嘴巴爽了,肠道在挨刀
这 3 类东西,有一个共同点:
“让肠道长期处在炎症和损伤—修复的循环里。”
久了,就容易走到“变坏”那一步。
第1物:加工肉制品——一口下去,风险是“有证据的”
火腿、培根、香肠、午餐肉、热狗肠……
很多人把它当“省事”。
但它在权威机构眼里,叫:明确致癌风险食物。
世界卫生组织(WHO)明确说明:加工肉被归为1类致癌物,并且研究估算:每天摄入50克加工肉,结直肠癌风险约增加18%。
医生的建议很直白:能不吃就不吃,真想吃:别当日常,别当“早餐固定项”。
第2物:油炸/高温煎烤——不是“油多”,是“高温产物”更阴险
炸鸡、炸串、油条、薯条、锅巴……
你以为它的坏处只是“长胖”。
但更阴险的是:高温烹饪会产生一堆“麻烦分子”(比如丙烯酰胺等),而丙烯酰胺被多个机构认为具有致癌风险属性,IARC也将其列为“可能对人致癌”的类别(Group 2A)。
你以为你在吃“香”,肠道在吃“刺激”。
第3物:腌制+高盐重口味——不是说一口不能吃,是“频率”在害你
咸菜、腌肉、腊肠、咸鱼、酱菜……
很多人一碗白粥必须配咸菜,不然“没味”。
但问题在于:腌制与高盐,常常和亚硝酸盐/亚硝胺风险、以及长期黏膜刺激捆绑在一起。
不是说你吃一口就得癌。
真正危险的是——
天天吃、顿顿吃、离不开吃。
尤其是家里自腌、自晒、自熏的,
“味道地道”的背后,往往是:盐高、储存条件不稳定、风险更难评估。
医生的建议也很现实:想吃可以,但别当“常备菜”。
为什么说“宁可喝白粥”?重点不在白粥,而在“让肠道喘口气”
很多人误会:
医生劝白粥,是不是白粥能防癌?
不是。
白粥的意义在于:
它足够温和,不给肠道增加额外刺激。
对肠道来说,最怕三件事:
1)长期重口味刺激
2)长期高脂高热量负担
3)长期纤维不足、排便不畅
白粥至少能做到:低油脂、低刺激,肠胃负担小,给你“饮食重启”的机会。
最后送大家一句话:想护肠,不需要你顿顿吃草;你只要别把加工肉、炸物、腌制菜当日常。
|
 |
|
|
来源:Yumi | KTLA新闻
据2月9日报道,在多个州出现麻疹疫情、且美国可能面临失去“麻疹消除国家”地位的背景下,一名美国高级卫生官员近日呼吁民众尽快接种麻疹疫苗。
美国医疗保险与医疗补助服务中心(CMS)负责人、心脏外科医生Mehmet Oz表示:“请接种疫苗,我们已经有解决问题的办法。”
新闻报道截图
Mehmet是在接受 CNN《国情咨文(State of the Union)》节目采访时作出上述表态的。尽管其上级官员此前曾对疫苗的安全性和重要性表达过质疑,但Mehmet在麻疹问题上的立场十分明确。
“麻疹是一种你应该接种疫苗预防的疾病”
“并非所有疾病都同样危险,也并非所有人对这些疾病的易感性相同,”Mehmet在节目中表示,“但麻疹是一种你应该接种疫苗来预防的疾病。”
当被问及公众是否应该害怕麻疹时,Mehmet直言:“当然应该。”
他同时强调,Medicare和Medicaid将继续覆盖麻疹疫苗费用,并表示:“美国人获取麻疹疫苗永远不会遇到障碍,它是疫苗接种核心计划的一部分。”
南卡病例数达数百例,疫情主要影响儿童
目前,南卡罗来纳州的麻疹病例已达数百例,超过了德克萨斯州在2025年记录的疫情规模。此外,犹他州与亚利桑那州交界地区也出现疫情,今年已有多个州报告确诊病例。
公共卫生专家警告称,公众对疫苗整体信任度下降,可能正在助推这种曾被宣布消除的疾病重新传播。现阶段的麻疹疫情主要影响儿童群体。
疫苗立场引发争议,官员说法不一
Mehmet还为近期调整的部分联邦疫苗接种建议,以及总统川普和卫生部长小罗伯特·肯尼迪(Robert F. Kennedy Jr.) 过去关于疫苗有效性的言论进行了辩护。
他说,政府“始终支持麻疹疫苗”,并称肯尼迪“长期站在推动麻疹疫苗接种的前线”。
Mehmet举例称,在德州首次出现疫情时,卫生部长肯尼迪曾明确表示:“针对麻疹,应该接种疫苗。”
不过,在肯尼迪随后接受《周日简报(The Sunday Briefing)》采访时,疫苗问题并未被提及。节目中,肯尼迪仅被问到超级碗期间会吃什么零食,并提到自己平时早晨会吃牛排配酸菜。
批评者质疑:反疫苗立场或影响公共卫生政策
批评者指出,卫生部长肯尼迪长期以来对美国疫苗接种建议持怀疑态度,并曾对“疫苗可能导致自闭症”的缺乏科学依据的说法表示同情,这可能在政策层面对公共卫生指导产生不利影响。
在近期一次参议院听证会上,美国国立卫生研究院(NIH)院长Jay Bhattacharya 表示,没有任何单一疫苗会导致自闭症,但并未完全排除未来研究发现“疫苗组合可能产生副作用”的可能性。
而肯尼迪则在参议院作证时表示,疫苗与自闭症之间的关联“尚未被彻底否定”。
儿童疫苗建议被调整,各州立场分化
上个月,共和党政府取消了部分儿童疫苗接种建议。美国卫生与公共服务部表示,此举是应川普要求,对其他国家的疫苗政策进行对比审查后作出的调整。
尽管联邦政府会提出指导意见,但是否强制儿童接种疫苗由各州自行决定。一些州已开始联合行动,以应对联邦疫苗政策变化。
根据联邦数据,美国疫苗接种率持续下降,获得疫苗豁免的儿童比例已创历史新高。与此同时,麻疹、百日咳等可通过疫苗预防的疾病正在全美范围内回升。
|
 |
|
|
来源:巨鹿路九号 女嘉宾
在网上看到一个很有意思的说法:“8小时睡眠其实是工业时代的产物,为了集中生产时间。实际上人的本能就是睡睡醒醒,和猫一样。”翻了几篇有关睡眠的论文,发现这个观点竟然是有一定的科学依据与实证的。
人的睡眠首先是一种具有高度可塑性的“模式”。在不同的光照条件、劳动结构与社会组织下,会呈现出截然不同的形态。比如连续性的长睡眠,亦或是分段、多段、醒睡交替的节律。
但问题在于,现代社会往往给“睡眠”设定了一个过于单一的评价标准。所以我们常常默认,“一觉睡满八个小时,不醒、不中断”的睡眠,才配以被称之为“好的睡眠”。英国历史学家E. P. 汤普森曾在他的著作《共有的习惯》中指出,工业资本主义用钟表时间取代了以自然节律和任务完成为核心的“任务时间”。
换而言之,今天的人们之于睡眠的标准,其实更像是一种后天被工业时间表塑造出来的理想模型。
在前工业社会,人们的生活节奏多半由日照、季节和个人的工作内容自主决定。白天干活,天黑休息;忙的时候拉长工作,闲的时候顺势停下。
时间像是一种可以自由伸缩、弯曲的渐近线。在这种情况下,睡眠呈点状式的分布,是再正常不过的事。
但随着工业化的进程不断前进,机械的生产要求使得人不得不在统一的时间点进入、退出生产系统。工厂的运转、日常的作息、城市的通勤节奏,逐渐把人的一天压缩成一张可以被统一管理的时间表。
人类睡眠的时间,也在这个过程中被重新分化、组织。
2001 年,弗吉尼亚理工大学的历史学家罗杰·埃基希(Roger Ekirch)出版了一本名为《我们失去的睡眠》的著作,他在书中提到,“人造光普及之前,人类可能根本不是一觉睡到天亮的。”埃基希花了16 年时间,梳理了从荷马史诗到维多利亚时代的数百份历史文献,发现了一个反复出现的模式——古人在夜晚的睡眠是分段的,他们将之称为“第一睡眠”和“第二睡眠”。
这也解释了为什么在前工业社会的历史记录中,夜间的生活往往是日常且繁荣的。
当时的人们会在傍晚入睡,大约4小时后醒来,然后在午夜有一段1到2小时的休闲时分,用于祈祷、聊天、照料家务亦或是短暂的独处,而后再进入第二段睡眠。
所以,睡眠本就不是一个必须一次性完成的任务,它可能是一种可以被打断、被重新进入的过程。
那么,从现代科学的角度来看,什么才算是“真正良好的睡眠”?
在当代睡眠医学中,对“好睡眠”的判断一般有三个标准:恢复性、稳定性和个人的主观感受。
恢复性指的是人在睡眠过程中,身体与大脑是否完成了必要的生理修复与神经重整。因为在睡眠状态下,身体会进入一套与清醒时完全不同的工作模式。在快速眼动睡眠(REM)阶段,大脑开始进行另一种形式的整理工作。白天经历过的事件、情绪反应与信息片段,会在REM睡眠中被重新编码、弱化或强化,从而降低情绪负荷,提升第二天的认知灵活性。但一夜的修复,是不足以支撑长期的睡眠健康的。所以,这也就引出了判断“好睡眠”的第二个标准:稳定性。
你的身体是否具备持续、自我调节的能力?是否知道什么时候应该放松、什么时候可以自然醒来,而不是每一晚都需要重复一次重新摸索的实验。
也正是在这个意义上,判断“好睡眠”的第三个标准,才显得格外重要——个人的主观感受。
我们或许可以换一个视角来看这个问题。如果观察一只小猫,我们会用“它昨晚有没有连续睡满八小时”来判断它睡得好不好吗?我们看的,往往是它醒来时的状态,是否舒展、是否慵懒,是否在白天自然地活动、打盹、再度入睡。
人其实也是一样的。
一个人对自己睡眠的感受一定是最清楚的。你是否焦虑、是否紧绷、是否觉得休息得好,都比单一的时长指标,更能预测长期的睡眠质量与身心状态。在这一点上,我们或许真的应当像小猫学习,相信自己的身体,对自己的感受诚实,不因为“多段的连续性睡眠”焦虑。
在工业的指针发明之前,夜晚是辽阔而宽容的。它允许我们在第一段梦境里告别昨日,在午夜的清醒里拥抱自我,在第二段梦境里期许黎明。但今天,人类由于自己无法成为完美的机器,在规定的时间内获得对应的良好睡眠,便开始怀疑自己作为动物的本能。
但睡眠本不是一场考试,动物从来不会为了昨晚没睡够而惩罚今天的自己。所以,让睡眠回归自然,让身体在起伏的节奏中自由靠岸即可。
|
 |
|
|
来源: 南山梵境
不知道,你们在读书的时候,有没有哪一句话触动过。
读一本书,总会被某一个句子感动,甚至影响很深。
有人因为一句话,会对生活有了新的感悟;也有人会因为一句话,做一些不可思议的决定。
书就是这么的独特,独特到会改变很多人的人生轨迹。
经典的名著,更是诲人不倦。
01。生活不可能像你想象的那么好,但也不会像你想象的那么糟。
—— 莫泊桑《羊脂球》
每个人都在自己的生活中,努力着、拼命着。
但我们知道,生活有时候很坏,你以为看到的是希望,偏偏给你的是一盆冷水。
但有时候,你看不到希望时,又会收获很多意想不到的温暖。
有人觉得自己的生活很不幸,总不能顺顺利利妥妥当当。
可回头去看看别人,别人的生活也许更糟。所以要珍惜拥有,一切都会好起来的。
世界名著最动人的6句话,一生至少要读一次
02。物竞天择,适者生存。
—— 达尔文《物种起源》
生物之间相互竞争,能适应者生存下来。
生物,不单单指那些动物,人也是一样。你觉得社会给每个人的机会是均等的,但并不是。
社会并不是机会均等的,人想要生活,想要成功,就要主动进攻,去把握各种可能把握的机会。如果只是等待机会,那最大的可能就是被淘汰。
要更好的生存,就要逼自己优秀,才能拿到更好的资源。
03。君子坦荡荡,小人常戚戚。
—— 孔子《论语》
这个世上,有君子,也有小人,是再正常不过的事情。
从小父母就教我们,做人,就要坦荡荡,不去给人添麻烦,不去干些歪门邪道的事。
光明磊落的人,不忧也不惧,他们对得起自己的所作所为。喜欢算计的人,才容易患得患失,庸人自扰就是这个道理。
即是说做人根本,也是告诫后人,万事不要太怨天尤人,掌控情绪,也是掌控人生。
孔子还有话说:“在邦无怨,在家无怨”。
怨气,是最不能要的东西。
就算生活困难,吃粗粮,喝冷水,弯着胳膊做枕头,也有着自己的人生乐趣。
04。记住该记住的,忘记该忘记的。改变能改变的,接受不能改变的。
—— 塞林格《麦田守望者》
记住、忘记、改变、接受,这些都是构成人生态度的必需品。
记住什么?
一些美好的回忆,对你好的人,你非常有成就感的事情。整个人生长路,这些是等你到老去时,最值得回首的往事。
忘记什么?
给你痛苦和不安,难以挽回的人,不属于自己的东西。不要给自己徒添烦恼。
不要为还没发生过的事情而烦恼,也不要对已经发生的事情而恐惧。
还没发生的,不一定就会来。而已经来了的麻烦,哪怕再害怕也没用,还不如去好好面对呢。
所以做人就是这样,要么就安之若素,要么就奋勇前进。
永远都不要太去强求什么。
05。幸福就是一双鞋,合不合适只有自己一个人知道。
—— 大仲马《基督山伯爵》
有人会太在意外界的声音,以为人家说好的,也许对自己就是好的,以为别人说不好的,那肯定就是不能要的。
但到底是不是合适你的,旁人又怎么知道呢?
好比上学,你学什么专业,更主要的是看你的兴趣。
学一个自己没感觉的专业,只会越学越累。
选择一份工作,不是别人说那个工作有前途你就去应聘。
就算你真得到那份工作,也只会越来越无力应对。
感情、婚姻更是如此,幸不幸福满不满足,最后还是看你自己感觉合不合适,能不能一起走下去。
06。人生一世,草木一秋。
—— 吴承恩《西游记》
到老了,才会发现,人这一辈子,其实不过几万天。
一个人出生,就和草木一样。破土、生芽、长叶、结果、落叶......最后尘归尘土归土。
要说人生长,也长。要说短,也短。最重要的,是看你选择怎么活。
生命于每个人而言,都只有一次。庸庸碌碌也是过,精精彩彩也是活。
虚度年华的人不少,真实鲜活的人也不少。到老到走,别让自己后悔就行。
花有重开日,人无再少年。无论你处在什么年龄,都要认真地活。
这些名著中,还有很多句子,不同的人有不同的感悟。
之所以要读书,不是说将来它就一定会帮助你赚多少钱。
但它一定会成为你人生的阶梯,无形中帮你到达一些地方。
也许没有那么明显,但却很真实。
读书使人明智,我坚信这句话。
|
 |
|
|
来源:镜报
美国加州橘郡(OrangeCounty)卫生官员证实,本周迪士尼乐园发生一起麻疹暴露事件,为该州今年通报的第二例麻疹相关案例。相关单位已对可能接触病毒的民众发布健康警告,提醒留意后续症状。
美国加州橘郡(OrangeCounty)卫生官员证实,本周迪士尼乐园发生一起麻疹暴露事件,为该州今年通报的第二例麻疹相关案例。图/google map
根据外媒报导,橘郡卫生官员说明,该名确诊者为一名国际旅客,本周抵达洛杉矶后,于1月28日前往迪士尼乐园、迪士尼加州冒险乐园游玩,并曾在安那翰(Anaheim)一间迪士尼旗下饭店内用餐。
综合哥伦比亚广播公司报导,卫生单位指出,迪士尼乐园饭店内的Goofy'sKitchen餐厅,在当日上午10时30分至下午1时30分之间可能存在病毒暴露风险;此外,迪士尼乐园与迪士尼加州冒险乐园,于下午12时30分至闭园期间,亦被列为潜在暴露场所。
橘郡卫生保健局在声明中表示,凡于上述日期及时段内到访相关地点的民众,可能在接触麻疹病毒后7至21天内出现感染症状,呼吁民众提高警觉并留意自身健康状况。
目前卫生官员正与迪士尼主题乐园管理层合作,追踪并确认可能接触病毒的员工,同时也与洛杉矶卫生单位及洛杉矶国际机场(LAX)相关机构进行协调,以防止疫情扩散。
卫生单位指出,麻疹是一种传染性极高的病毒性疾病,常见症状包括发烧、咳嗽、流鼻水、眼睛发红,以及皮疹,皮疹通常先从脸部出现,再逐渐扩散至全身。
据了解,2026年首例麻疹病例于1月28日通报。卫生官员强调,完整接种两剂麻疹、腮腺炎、德国麻疹混合疫苗(MMR疫苗),可有效预防麻疹感染,并呼吁尚未完成接种者尽速补种。
卫福部指出,麻疹为传染力很强的病毒性疾病,可经由空气、飞沫传播或接触病人鼻咽分泌物而感染,在疫苗尚未使用前,超过99%的人都会被感染,几乎每个人的一生中都难逃麻疹侵袭。常见症状有发烧、出疹、鼻炎、结膜炎、咳嗽,以及发烧3至4天后口腔内出现斑点(柯氏斑点),较严重者会并发中耳炎、肺炎或脑炎。
近期全球麻疹疫情持续,近2个月美国、加拿大、越南、印尼、澳洲、纽西兰及以色列等国持续通报麻疹疫情。提醒民众如规划前往上述国家地区,可先评估接种相关疫苗,并落实手部卫生及咳嗽礼节,出入人多空气不流通场所可佩戴口罩,减少感染呼吸道疾病机会。
|
 |
|
|
来源:《自然》杂志
在这个充斥着睡眠建议的时代,从短视频推荐的“封口胶带”到各种号称能改善睡眠的产品,我们似乎被无数解决方案包围。但科学家们提醒我们:许多流行方法可能并不科学,甚至可能适得其反。
来自俄勒冈健康与科学大学的昼夜节律科学家安德鲁·麦克希尔指出,失败的尝试可能让人沮丧,甚至延误寻求真正有效的帮助。那么,什么才是基于科学的好睡眠建议呢?《自然》杂志2025年9月30日的一篇专题报道总结了几十年来昼夜节律科学的核心发现,并将其转化为三条每个人都能实践的基本原则。
一、光的艺术:创造明暗对比
光是调节我们生物钟的最强信号。你可能听说过要避免夜晚的蓝光,但这只是故事的一半。
关键点:我们的眼睛里有专门感知光线来校准生物钟的细胞,它们对蓝光尤其敏感。
白天要亮:理想的“校准光”是户外自然的蓝光。即使阴天,户外光线亮度(可达1万勒克斯以上)也远超室内照明(通常100-250勒克斯)。科学家指出:“我们其实不太擅长判断自己获得了多少光。”白天获得足够明亮的光线,不仅能同步生物钟,还能促进夜间褪黑激素(睡眠信号激素)的正常分泌,直接提升白天的警觉性和认知表现。
夜晚要暗:夜晚的任何光线——尤其是蓝光,都会扰乱节律、抑制褪黑激素、干扰睡眠。最破坏性的是睡眠中途的光照(比如起夜开灯),因为这时生物钟最不预期有光。研究表明,即使很暗的光线(如走廊灯)也可能提高夜间心率和损害睡眠质量。
科学建议:
白天尽量多待在户外或靠窗位置,使用模拟日光的LED灯。
夜晚降低灯光亮度,减少屏幕使用,或使用暖色模式。
如果需要夜灯,选择低亮度的琥珀色灯光。
重要提醒:对比度才是关键——明亮的白天和黑暗的夜晚同样重要。研究发现,白天获得的光照越多,夜间睡眠质量越好。一项针对近9万人的英国研究甚至发现,光照模式最不健康的20%人群,预期寿命比最健康的20%人群短约5年。
二、吃的智慧:规律与时机
“人体在上午10点的肝脏,和晚上10点的肝脏,完全是两个不同的器官。”加州索尔克研究所的艾米丽·马努吉安这样形容。我们的消化系统、饥饿激素、胰岛素等都有自身的节律。
关键点:我们的身体并非为全天候进食而设计。
最佳进食窗口:通常从上午晚些时候到下午早些时候,身体最能高效处理食物。
避免深夜进食:晚餐至少应在睡前3小时完成。深夜进食会扰乱生物钟,导致消化不完全,提升血糖和核心体温(不利于睡眠降温),并可能增加夜醒如厕的次数。
食物质量:高糖高脂饮食会减轻和碎片化睡眠。咖啡因作用持久,酒精虽助入睡却严重损害睡眠质量。相反,白天摄入更多果蔬与更少碎片化睡眠相关。
科学建议:
恢复“早餐像国王,午餐像王子,晚餐像农夫”的老话。
如果睡前必须吃,选择酸奶、麦片等易消化食物。
有趣发现:夜间挤的牛奶比白天挤的含有更多褪黑激素和更低的压力激素皮质醇。人类母乳也有类似波动,所以哺乳期妈妈可以考虑标注挤奶时间,或许有助于宝宝(和自己)睡得更好。
三、睡的节律:稳定胜过时长
睡眠时间点的稳定,可能比睡够时长更重要。澳大利亚弗林德斯大学的安德鲁·菲利普斯说:“我们需要重新构建对睡眠的思考方式。这不仅仅是完成每天的配额。”
关键点:睡眠由两大系统调控——基于腺苷积累的“睡眠稳态”和基于生物钟的“昼夜节律”。两者同步才能获得优质睡眠。
个体差异:“早鸟”和“夜猫子”的最佳睡眠窗口不同。强迫自己违背内在节律(比如用闹钟早起)会导致长期的睡眠剥夺。
社会时差:工作日和周末睡眠时间不一致,如同每周给自己制造“时差”,危害健康。
严重后果:研究显示,不稳定的每日睡眠时间表比总睡眠时长能更好地预测死亡率。心衰患者若睡眠不规律,发生再次住院或死亡等事件的风险是规律睡眠者的两倍。
科学建议:
尽可能在每天相同的时间睡觉和起床,即使在周末。
尊重自己的 chronotype(时间类型),在允许的范围内调整作息。
生活的平衡:结合与妥协
科学家们强调,这三条原则相互促进:规律的进食可以稳定睡眠时间,稳定的睡眠又让你更容易获得晨光和避免夜光。
但完美主义并非必需。菲利普斯说:“专注于任何一个因素都有助于其他因素到位。” 对于倒班工作者等面临现实障碍的人群,任何能做到的调整(比如尽量在白天进食)都能降低风险。晨间锻炼也有助于夜间睡眠。
生活也需要灵活性。偶尔的晚宴、周末补觉以偿还睡眠债,都是可以被允许的。科技产品或许不能治愈失眠,但像可穿戴设备结合人工智能提供的个性化反馈,可能在未来帮助我们养成更健康的习惯。
总结来说,基于昼夜节律科学的好睡眠秘诀可以概括为:白天拥抱光明,夜晚回归黑暗;让进食节奏与身体同步;并像对待重要约会一样,尊重你稳定的睡眠时间。 这些看似简单的自然法则,正是我们身体期待了数百万年的、最有效的“睡眠黑科技”。
|
 |
|
|
来源:自由时报
刺青时使用的颜料,恐怕不只停留在皮肤表层,瑞士一份近日发表的研究指出,刺青后颜料会迅速进入淋巴系统,累积长达数月之久,影响免疫细胞,甚至会扰乱身体对疫苗的反应。
《彭博》28日报道,这份由瑞士意大利语区大学(USI)进行的研究,以老鼠为模型,追踪刺青后颜料流向。实验显示,颜料色素进入身体后,数分钟内就会流入刺青部位附近淋巴,持续累积两个月之久,引发免疫细胞死亡和身体持续发炎。
研究测试颜料对疫苗的影响,实验中使用辉瑞(Pfizer)/BNT(BioNTech)联合开发的新冠病毒(Covid-19)疫苗,注射在有刺青的部位,抗体反应被削弱,相较之下,同样的发炎作用,似乎会提高对不活化流感疫苗的免疫反应。
这份研究报告25日在美国《国家科学院学报》(PNAS)发表。报告作者指出,这是目前有关刺青颜料对免疫反应影响的最全面研究,并提出与刺青相关健康风险的疑虑;刺青颜料成份的规范远比医疗产品宽松,这项研究结果显示,有必要对这类物质成份,有更严格的毒理学检测和监管。
研究并未显示,类似免疫影响是否也会发生在人体,这一部分尚未测试,不过已经指出清楚的风险讯号。长期以来已有在人类淋巴结发现沉积刺青色素的纪录,这份针对老鼠的实验结果,反映过去在人类和灵长类动物身上所见现象。
2024年一份针对将近1万2000人的瑞典研究显示,相较没有刺青者,有刺青的人罹患恶性淋巴瘤的风险,比没刺青者高约21%,刺青之后前2年,以及超过10年后,此关联风险最明显。
维也纳一名刺青师为顾客刺青。(法新社档案照)
|
 |
|
|
来源:小谈食刻
寒冬时节,冷风刺骨,正是感冒、流感等疾病的高发期。与其等到生病再吃药,不如在日常饮食中提前筑起健康防线。大自然中就有这样一批“天然守护者”——它们虽不含真正的青霉素,却富含天然抗菌、抗炎成分,能帮助身体增强抵抗力,被誉为餐桌上的“天然抗生素”。今天就来认识这5种冬季宝藏蔬菜,让你吃出强大免疫力,健康迎接新年。
1. 大蒜:杀菌先锋,免疫“发动机”
大蒜被称为“地里长出的青霉素”并非虚名。当大蒜被切碎或捣碎时,大蒜素便大量释放——这种含硫化合物具有强大的广谱抗菌、抗病毒能力,能抑制多种致病微生物。
冬季养生功效:
刺激免疫细胞活性,增强身体防御力
促进血液循环,帮助抵御寒冷
缓解冬季呼吸道不适
最佳吃法:生吃效果最佳(若肠胃敏感可适量)。将切碎的大蒜放置10分钟再食用,让大蒜素充分生成。搭配少量食用油(如凉拌菜)有助于吸收。
推荐菜式:蒜泥白肉、蒜蓉蒸菜、大蒜炒腊肉(腊肉冬季适量)
2. 洋葱:炎症“消防员”,血管“清道夫”
洋葱富含槲皮素、前列腺素A和硫化物。这些物质协同作用,形成强大的抗炎、抗氧化屏障,尤其在预防冬季常见感染方面表现出色。
冬季养生功效:
抑制炎症反应,减轻喉咙痛等不适
促进钠盐排泄,对冬季血压波动有调节作用
富含益生元,滋养肠道有益菌群
最佳吃法:紫皮洋葱营养价值更高。轻度加热(如快炒)能保留大部分营养,又可减少辛辣刺激。
推荐菜式:洋葱炒鸡蛋、洋葱牛肉丝、洋葱番茄汤
3. 西兰花:全能“防护盾”,细胞“守护者”
西兰花是营养密度极高的蔬菜,富含萝卜硫素、维生素C、叶酸及多种矿物质。其中的萝卜硫素已被多项研究证实能激活人体自身的抗氧化和解毒系统。
冬季养生功效:
增强黏膜免疫力,加固呼吸道第一道防线
促进肝脏解毒,减轻冬季因空气流通差带来的负担
高纤维助消化,缓解冬季因活动减少导致的便秘
最佳吃法:蒸或快炒优于水煮,避免营养流失。烹饪前切好放置几分钟,有助于萝卜硫素前体转化为活性形式。
推荐菜式:蒜蓉西兰花、西兰花炒虾仁、西兰花浓汤
4. 生姜:驱寒“暖宝宝”,消化“助推器”
生姜中的姜辣素和姜烯酚是其主要活性成分,具有发汗解表、温中止呕、抗炎镇痛的功效,特别适合冬季养生。
冬季养生功效:
驱散风寒,预防和缓解初期感冒
促进血液循环,改善冬季手脚冰凉
缓解冬季因进补过多引起的消化不良
最佳吃法:冬季宜熟用。煮汤、炖菜时加入,或制成姜茶饮用。去皮会损失部分营养成分,洗净即可。
推荐菜式:姜枣茶、姜母鸭、红糖姜撞奶
5. 蘑菇家族:免疫“调节师”,营养“宝库”
香菇、平菇、金针菇等食用菌富含β-葡聚糖、硒和B族维生素。这些成分能微妙调节免疫系统,使其既不过度反应(如过敏),也不反应不足(如易感染)。
冬季养生功效:
增强免疫细胞识别和清除病原体的能力
维生素D原含量高,弥补冬季日照不足
低热量高营养,适合冬季控制体重人群
最佳吃法:充分做熟,释放全部营养。多种蘑菇混合食用,营养更全面。
推荐菜式:菌菇炖鸡汤、红烧蘑菇、菌菇火锅
冬日“天然青霉素”饮食法则
多样性原则:不要只盯着一种蔬菜,每周将这5种蔬菜轮换安排进餐单
适量持续:免疫力建设非一日之功,建议每日至少选择其中2种食用
搭配智慧:
大蒜+蘑菇:协同增强免疫
洋葱+西兰花:抗氧化效果加倍
生姜+菌菇汤:驱寒又滋补
烹饪有度:尽量采用蒸、快炒、炖等能保留营养的烹饪方式
特别提醒:这些情况要注意
肠胃敏感者:大蒜、洋葱、生姜应适量,避免空腹大量食用
服药期间:大蒜可能影响抗凝药物效果,食用前请咨询医生
体质偏热者:生姜需减量,或搭配萝卜等凉性食材平衡
冬日餐桌上的免疫力工程
真正的健康防护,从来不是生病后的紧急补救,而是融入每日饮食的细心养护。这个冬天,让这些“自带青霉素”的蔬菜成为你家餐桌上的常客。它们平凡、实惠,却蕴藏着大自然赋予的强大守护力。
当新年钟声敲响时,最好的礼物莫过于全家人的健康无恙。从今天起,用心安排每一餐,吃出强大免疫力,吃出温暖好体质,平安健康地迎接每一个冬日晨光,迎接崭新的一年。
记住:食物是最好的医药,厨房是最温馨的药房。这个冬天,用这些天然守护者,为自己和家人筑起一道坚实的健康防线吧!
|
 |
|
|
来源: vansky
加拿大安大略省的一项最新研究表明,带状疱疹疫苗可能比任何现有疗法更有效地预防和/或延缓痴呆症的发生。
该研究由麦克马斯特大学和斯坦福大学的研究人员主导,近日发表于《柳叶刀神经病学》杂志。
研究分析了安大略省超过25万名老年人的健康数据,发现带状疱疹疫苗有助于显著预防痴呆症。
首席研究员、斯坦福大学教授帕斯卡尔·格尔德塞策(Pascal Geldsetzer)说:“目前还没有任何药物能够产生如此显著的预防效果。”
这项研究基于安大略省于2016年9月推出的带状疱疹疫苗接种计划。该计划最初实施时,2017年1月1日之后年满71岁的人可以免费接种疫苗,而在此日期之前年满71岁的人则不是,这自然而然地形成了两个年龄分界点,即出生日期在分界点前后的人群。
这项研究分析了两个群体长达5.5年的数据,发现符合免费接种疫苗年龄条件的群体,其新确诊痴呆症的概率比当时不符合接种条件的群体低2%。
格尔德塞策教授表示,这意味着在5.5年的时间里,每100人中痴呆症病例减少了约2例,这比现有痴呆症治疗方法通常能达到的效果要好得多。
“带状疱疹疫苗可能成为预防痴呆症的有效手段,这将意义重大,因为我们目前在预防和治疗痴呆症方面手段匮乏,”格尔德塞策说,“接种疫苗是一种简单、一次性、经济、安全的干预措施。”
格尔德塞策表示,研究还发现,安大略省的疫苗接种计划启动后,符合接种条件的队列中,新确诊的痴呆症病例显著低于加拿大其他未实施类似计划的省份的同龄出生队列。
这项在安大略省开展的研究,目前已成为英国、澳大利亚等世界其他地区相关研究的一部分,这些研究共同为开展一项对照因果关系研究奠定了基础,以巩固研究结果。
格尔德塞策补充说,研究证据表明,疫苗甚至可能对痴呆症患者有益。
“我们的研究表明,在出现轻度认知障碍之前接种疫苗有益,但在痴呆症晚期接种疫苗也有益,”他说道。“它似乎确实对整个痴呆症病程都有益处。”
“我们发现,在接种疫苗时已患有痴呆症的人群,死于痴呆症的概率大幅降低。”
他表示,目前尚不清楚阿尔茨海默病和其他类型痴呆症的确切形成机制,但免疫系统被认为在疾病发展过程中起着至关重要的作用。某些能够侵入神经系统的病毒被怀疑会加剧遗传因素和其他因素,使人们更容易患病。
格尔德塞策表示,带状疱疹疫苗为何可能有助于预防痴呆症的确切原因还需要进一步研究,但他补充说,该疫苗可能对人体的免疫反应产生更广泛的影响,而不仅仅局限于其设计初衷。
两年前,波士顿布莱根妇女医院的医生报告称,患一次带状疱疹可能会使患痴呆症的风险增加约20%。
麦克马斯特大学教授、该研究的作者之一斯蒂芬森·斯特罗贝尔(Stephenson Strobel)称,他们的研究发现,该疫苗不仅能预防其所针对的疾病,而且具有重要的意义。
“它们可能具有抗炎作用,不仅能直接影响疾病本身,还能产生一种非常重要的连锁反应,”他说。
加拿大阿尔茨海默病协会理事会成员黄博士(Roger Wong)称,他对这项新研究感到兴奋,因为它将对加拿大痴呆症患者产生影响。
“加拿大各地约有70万痴呆症患者,而且这个数字还在上升。如果到2050年情况没有改变,这个数字将增加三倍,达到约180万人,”他说。
他表示,这是加拿大首个显示带状疱疹疫苗对痴呆症有积极作用的研究,并补充说,这项研究为开展更严谨的后续研究铺平了道路。
“这项研究的设计是基于一个大型数据库,”他说。 “虽然这并不能确定二者之间存在因果关系,但它确实为我们进一步研究铺平了道路,以便更好地了解这是否属实。”
“它确实提供了一个信号,并强烈提示我们开展进一步研究,以解释这是否真的是因果关系。这项研究提供的是强烈的关联性,而非因果关系,而是一种强烈的可能性和概率。”
这项研究发布之际,研究人员发现,未来30年,加拿大患有痴呆症的人数预计将增加187%。
格尔德塞策表示,他下一步计划开展一项控制更严格的研究,目前正在筹款以进行进一步的研究。
“现在真正需要的是一项关于带状疱疹疫苗预防痴呆症的真正随机临床试验,这也是我目前的研究重点,”他说。
目前,安大略省 65 至 70 岁的成年人可以免费接种疫苗,可通过初级保健提供者接种两剂。
卑诗省医疗补助计划 (MSP) 不涵盖带状疱疹疫苗,建议50岁及以上成年人接种该疫苗,研究表明其有效率超过90%。
通常需要接种两剂疫苗,在卑诗省,每剂费用约为150元。
|
 |
|
|
来源:搜狐
癌细胞本身并无主动“偏好”的食物,但长期大量摄入某些食物,会通过提供能量、产生致癌物、破坏身体防御机制等方式,为癌细胞生长增殖创造“适宜环境”。以下6类食物需重点谨慎摄入,每类均附明确风险数据与科学依据:
一、高糖食物:癌细胞的“能量加速器”
代表食物:糖果、含糖饮料(汽水、奶茶)、奶油糕点、精制米面制品等
科学机制:癌细胞依赖“有氧糖酵解”路径高效摄取利用葡萄糖,其葡萄糖消耗速率是正常细胞的2-10倍;同时高糖饮食会刺激胰岛素样生长因子(IGF-1)分泌,该因子可直接促进癌细胞增殖,还会诱发胰岛素抵抗和慢性炎症,破坏身体抗癌微环境。此外,高糖摄入导致的肥胖,已被证实与13种癌症风险升高相关,包括乳腺癌、结直肠癌、肝癌等。
数据依据:2026年研究显示,每日添加糖摄入超过25克(约6茶匙),肝癌、胰腺癌、乳腺癌风险分别增加38%、27%、19%;单杯奶茶的含糖量约等于14块方糖,远超WHO建议的每日上限。
建议:优先选择全谷物、水果、坚果替代精制糖,每日添加糖摄入量控制在25克以下,少喝含糖饮料,购买食品时关注配料表中的“隐形糖”(如果葡糖浆、麦芽糊精)。
二、加工肉类:IARC明确的1类致癌物
代表食物:火腿、培根、香肠、腊肉、熏肉等
科学机制:加工肉类在腌制、熏制过程中会添加亚硝酸盐等防腐剂,其在人体胃内可与蛋白质分解物结合,转化为强致癌物N-亚硝基化合物,直接损伤细胞DNA,诱发基因突变。烟熏类加工肉还会产生苯并芘等多环芳烃致癌物,进一步放大健康风险。
数据:世界卫生组织(WHO)下属国际癌症研究机构(IARC)2026年更新分类,加工肉类仍被列为1类致癌物(明确对人类致癌);《柳叶刀·肿瘤学》中国队列研究证实,每日摄入50克加工肉(约1根香肠),结直肠癌风险直接升高18%。
建议:儿童、孕妇、老年人尽量避免食用;成年人如需食用,每周不超过1次,每次控制在20克以内,且搭配富含维生素C的新鲜蔬果(如橙子、青椒),可抑制亚硝胺生成。
三、腌制食品:亚硝胺的“重灾区”
代表食物:咸菜、腌肉、咸鱼、腐乳、泡菜等
科学机制:食品腌制过程中(尤其低盐腌制或发酵不完全时),会产生大量亚硝酸盐,在胃酸环境下转化为亚硝胺类强致癌物,长期刺激消化道黏膜,诱发细胞异常增生。其中中式咸鱼因独特腌制工艺,还会产生专属亚硝基化合物,对鼻咽黏膜的致癌性尤为显著。
数据:《2025年中国恶性肿瘤流行情况报告》显示,长期食用腌制食品的人群,胃癌发病率比普通人群高2.3倍,食管癌风险升高1.8倍;咸鱼消费集中的华南地区,鼻咽癌发病率居中国首位。
建议:每月食用不超过2次,食用前用流水浸泡10-15分钟,减少亚硝酸盐残留;优先选择冷藏发酵、标注“低钠”的产品,避免自制无安全控制的腌制食品。
四、油炸和烧烤食物:高温下的“致癌陷阱”
代表食物:炸鸡、薯条、烤肉、油条、油饼等
科学机制:食物在200℃以上高温油炸或明火烧烤时,脂肪和蛋白质会发生美拉德反应与热解反应,产生苯并芘(IARC 1类致癌物)、杂环胺、丙烯酰胺等多种强致癌物,这些物质可穿透消化道黏膜,损伤DNA并诱发癌变。肉类表面焦黑、炭化部分的苯并芘含量可超标10倍以上,风险最高。
数据:临床研究指出,每周食用3次以上油炸食品,胃癌风险升高41%,结直肠癌风险增加35%;长期吃烧烤的人群,肺癌发病率比不食用者高1.9倍。
建议:烹饪方式优先选择蒸、煮、炖、凉拌;如需烧烤,用锡纸包裹食材避免明火接触,烤前腌制1小时(减少致癌物生成),焦糊部分坚决丢弃;每月食用不超过1次,每次控制在50克以内。
五、酒精饮品:无安全阈值的1类致癌物
代表食物:白酒、啤酒、红酒、黄酒、果酒等
科学机制:酒精(乙醇)在体内经肝脏代谢生成乙醛,乙醛已被IARC列为1类致癌物,可直接破坏DNA链、抑制DNA修复酶活性,同时损伤肝细胞、诱发慢性肝炎和肝硬化,最终进展为肝癌。酒精还会干扰雌激素代谢,增加乳腺癌风险,且与烟草协同作用时,致癌风险可叠加30倍以上。
权威数据:《中国癌症一级预防指南(2026年版)》明确:酒精与至少7种癌症直接相关——每日摄入10克酒精(约1杯啤酒),乳腺癌风险升高7%;长期大量饮酒者,食管癌风险是不饮酒者的3-7倍,肝癌风险升高1.5-2倍,结直肠癌风险增加17%。关键结论:无安全饮酒阈值,即使少量饮用仍会增加癌症风险。
建议:最健康选择是不饮酒;若无法避免,成年男性每日酒精摄入量不超过25克,女性不超过15克,且避免空腹饮酒、混饮不同酒类。
六、腐坏发霉的食物:强致癌物的“温床”
代表食物:发霉的花生、玉米、大米、坚果、水果等
科学机制:腐坏发霉的食物易被黄曲霉、展青霉等霉菌污染,产生黄曲霉毒素(已知最强化学致癌物之一)、展青霉素等剧毒物质。其中黄曲霉毒素B1的致癌性是砒霜的68倍,可直接损伤肝细胞DNA,诱发肝癌;展青霉素则与胃癌、食管癌的发生密切相关。
权威数据:WHO 2026年食品安全报告指出,长期摄入黄曲霉毒素超标的食物,肝癌发病风险升高6.4倍;中国肝癌高发区的流行病学调查显示,80%的肝癌患者有长期食用发霉谷物的习惯。需注意:霉菌毒素具有耐高温性,普通烹饪(煮、炒、蒸)无法将其破坏。
建议:食物一旦出现霉点、异味,即使只有少量发霉,也需整份丢弃(霉菌菌丝已深入内部);储存谷物、坚果时保持干燥通风,避免潮湿环境滋生霉菌;购买食用油选择正规品牌,避免劣质散装油。
关键提醒:防癌是“系统工程”,饮食只是重要一环。
|
 |
|
|
来源:每日邮报
近日,印度西孟加拉邦暴发尼帕(Nipah)病毒疫情,已有1人病情危重,近百人被要求居家隔离。
尼帕病毒是一种致命的人畜共患病毒,可直接在人与人之间传播,也可通过受污染的食物传染给人类,死亡率在40%至75%之间。
目前,针对该病毒全球无特效药,多国已紧急升级边境管控。
01。印度暴发尼帕(Nipah)病毒疫情
近日,印度卫生官员正紧急应对尼帕(Nipah)病毒疫情,该病毒在人口第三大城市加尔各答(Kolkata)的西孟加拉邦(West Bengal)已确诊5例,其中一名护士病情危重。
当地已启动紧急接触者追踪和隔离措施。
据印度新闻社报道,本周再新增3例感染者,包括一名医生、一名护士和一名卫生工作人员,均在加尔各答以北约15英里的巴拉萨特(Barasat)私人纳拉亚纳综合医院工作。
西孟加拉邦卫生与家庭事务部首席秘书纳拉扬·斯瓦鲁普·尼甘(Narayan Swaroop Nigam)表示,病情危重的护士已进入昏迷状态,可能是在治疗一名患严重呼吸疾病的病人时感染病毒。该病人在检测前已去世。
截至目前,官员已对180人进行检测,并将20名高风险接触者隔离,以防疫情进一步扩散。
该病毒首次发现于马来西亚尼帕村,得名“尼帕病毒”。1998至1999年,尼帕病毒曾在马来西亚和新加坡暴发,造成上百人死亡,并扑杀约一百万头猪。
本次疫情是西孟加拉邦19年来首次出现尼帕病毒病例。
尼帕病毒在某些蝙蝠种群中广泛存在,尤其是果蝠,被认为是该病毒的天然宿主。这类蝙蝠通常不会出现明显症状,却可以长期携带并排出病毒,通过唾液、尿液或粪便污染环境和食物,从而成为病毒传播的重要源头。
02--尼帕(Nipah)病毒的传播及预防
尼帕病毒是一种人畜共患病毒,既可通过感染的蝙蝠或猪传染给人类,也可在密切接触情况下实现人际传播。
印度之所以每年都有尼帕病例出现,是因为果蝠在印度城市和乡村有着广泛的分布。
尼帕病毒的传播途径主要包括以下三类:
1.动物传播
果蝠是尼帕病毒的天然宿主,病毒可通过蝙蝠排泄物污染的食物、水源传播给人类。
猪也可能成为中间宿主,通过接触感染猪或其分泌物而被感染。
2.人际传播
与感染者的密切接触,如照护病人或接触其体液,可导致病毒在人群中传播。
3.食物传播
食用被病毒污染的生椰枣汁(date palm sap)、水果或其他食物,也可能感染尼帕病毒。
值得注意的是,目前尚无证据表明猪肉等动物产品会传播病毒,主要传播风险集中于直接接触受感染的动物或患者。
尼帕病毒的症状:
人类在感染初期可能无明显症状,但可迅速发展为急性呼吸疾病。潜伏期通常4-14天,最长可达45天。
感染症状包括发热、头痛、肌肉疼痛、呕吐和咽喉痛,严重病例可能引发脑炎,24至48小时内出现昏迷。
尼帕病毒的预防:
1.避免接触病毒宿主
避免接触果蝠和猪,尤其是在疫情区域。
2.注意饮食安全
不饮用可能被动物污染的生椰枣汁(raw date palm sap)或未经加工的果汁。
避免食用未清洗或可能被蝙蝠、猪接触过的水果。
3.加强个人防护
对照护病人时佩戴口罩、手套等防护用品,避免接触体液。
4.及时就医与隔离
出现发热、咳嗽、呼吸困难等症状,应立即就医,并告知近期接触史。
遵守隔离和检疫措施,减少病毒扩散风险。
目前全球尚无针对尼帕病毒的疫苗或特效药,治疗主要依靠输液、吸氧等支持性护理。即便患者侥幸存活,约20%仍可能出现癫痫、性格改变等终身神经系统后遗症。
据报道,莫德纳公司mRNA-1215疫苗已进入临床试验但未上市。
由于病毒致命且具有流行潜力,世界卫生组织(WHO)已将尼帕病毒列为优先关注病原体,并呼吁加快研究,包括动物和人类疫苗的研发。
此次疫情发生之际,专家们对人畜共患病(动物传给人的疾病)日益关注,尤其是在新冠病毒(Covid-19)和严重急性呼吸综合症(SARS)大流行之后。
建议近期非必要不前往印度西孟加拉邦等疫区。目前,泰国和尼泊尔已分别加强对入境印度游客以及机场、边境口岸的健康监测和检疫检测。
03--美国会遭受波及吗?进口水产受影响吗?
目前美国并没有出台类似泰国等地的“强制检疫措施”。
还有许多人担心从印度进口到美国的水产等产品是否会受影响。
根据美国疾控中心的说法,尼帕病毒的天然宿主是果蝠,中间宿主是猪、马等哺乳动物。目前尚无证据表明鱼、虾等水生动物会感染、携带或传播尼帕病毒。
另外,尼帕病毒对热比较敏感。专家提醒,只要确保肉类、海鲜等食物在食用前经过充分的加热烹饪(中心温度达到70°C以上),即可有效灭活潜在病毒,保障食品安全。
|
 |
|
|
来源:羊城晚报
近日,印度西孟加拉邦爆发尼帕病毒(NipahVirus)疫情,官方已确认了5例感染病例,其中包括两名医疗工作者处于危重状态,当地已隔离近100人。印度自2001年以来已爆发过10-12次尼帕病毒,造成70-80人死亡。
在印度西孟加拉邦的最新爆发中,已确认5例感染,并隔离近100名密切接触者。西孟加拉邦一名卫生官员表示,加尔各答附近一家私立医院的2名医护人员是本次疫情中最早被确诊的患者,他们极有可能是从此前一名出现严重呼吸道症状的患者那里感染病毒。
尼帕病毒除了由果蝠经由猪传染给人类,饮用生枣椰汁也是一个重要的传播途径:
这是该病毒自2007年以来在西孟加拉邦的首次重现,此前该地区在2001年和2007年有过爆发。而印度南部的喀拉拉邦更是尼帕病毒的热点地区,自2018年以来,几乎年年发生疫情。自2001年以来,印度爆发了10-12次尼帕病毒,大约100-120人感染,其中70-80人死亡,致死率约有70%。
孟加拉是尼帕病毒爆发次数最多的国家,自2001年以来,几乎每年都有季节性爆发,累计报告病例约有350人,死亡241人。
世界卫生组织将尼帕病毒列为一种致命的人畜共患病毒,主要由果蝠携带。该病毒可通过被污染的食物传播给人类,或直接人传人,死亡率在40%到75%之间。据世卫组织介绍,这种病毒从感染到出现症状的潜伏期一般为4天至14天,最长可达45天。目前尚无专门针对尼帕病毒的疫苗和有效疗法。
尼帕病毒除了由果蝠经由猪传染给人类,饮用生枣椰汁也是一个重要的传播途径。这种饮料采集自枣椰的树干,在南亚地区很受欢迎,然而在采集过程中容易受到果蝠的污染,已有不少尼帕病毒疫情是由饮用生枣椰汁引发。
生枣椰汁是指从枣椰树的树干上新鲜采集的树液,未经煮沸、加工或加热处理而直接饮用,是南亚地区的一种传统饮品。枣椰汁的采集通常在夜间或清晨,人们在枣椰树的树干上切开一个切口,让树液缓慢流出,收集在陶罐或塑料容器中。新鲜采集的树液呈乳白色、略甜,富含天然糖分、矿物质、维生素和氨基酸,口感清甜,被视为营养饮品或当地传统美食。在南亚的孟加拉和印度部分地区,生枣椰汁是一种季节性饮品,尤其在冬季采集和饮用。有些人会直接生喝,也有人发酵成酒或加工成糖浆。
果蝠是尼帕病毒的自然宿主,牠们在夜间觅食时会舔食或接触枣椰树液的切口和收集容器,通过唾液、尿液或粪便污染树液。人类饮用这种未经煮沸的污染树液后,就可能感染尼帕病毒。
世界卫生组织和当地卫生部门一直建议避免饮用生枣椰汁,如果要喝,必须煮沸后食用,采集时要使用竹筷或网罩,以防果蝠接触,发现有蝙蝠叮咬痕迹的水果要尽快丢弃。
|
 |
|
|
来源: newyorkfamily
美国疾病控制与预防中心(CDC)已更新其儿童疫苗接种建议,这一版本与此前的接种时间表存在明显差异。最大变化在于:不再要求所有儿童接种那么多疫苗。常规推荐疫苗数量从17种减少至11种。
需要注意的是,其余疫苗并非被彻底移除:一部分将仅推荐给高风险儿童,另一部分则可在家长与儿科医生共同讨论后决定是否接种。
仍列入常规推荐的疫苗包括:
百日咳(Whooping cough,DTaP)
b型流感嗜血杆菌(Hib)
肺炎球菌(Pneumococcal)
脊髓灰质炎(Polio)
麻疹、腮腺炎、风疹(Measles, mumps, rubella,MMR)
人乳头瘤病毒(HPV)(现仅需1剂)
水痘(Chickenpox/Varicella)
根据CDC的说明,并非所有儿童都需要接种所有疫苗。有些疫苗只建议高危儿童接种,这些儿童通常患有某些健康问题或疾病,例如免疫系统较弱、慢性肺部或心脏疾病或肝病。
高危儿童也可能指那些接触病毒机会较多的儿童,例如经常出入易感场所的儿童,如托儿所、学校或病毒流行地区。此外,也可能指那些可能将疾病传染给更易感人群的儿童,例如年幼的弟妹、祖父母或免疫系统较弱的人群。
仅推荐给高风险儿童的疫苗包括:
呼吸道合胞病毒(RSV)
甲型与乙型肝炎(HepatitisA&B)
登革热(Dengue)
脑膜炎球菌ACWY型及B型(Meningococcal ACWY&B)
以下疫苗将不再作为所有儿童的统一推荐项目,而是由家长与医生协商决定是否接种:
轮状病毒(Rotavirus)
新冠疫苗(Covid-19)
流感疫苗(Flu)
脑膜炎球菌疾病(Meningococcal disease)
甲型与乙型肝炎(HepatitisA&B)
考虑到医疗保险是许多家长关心的问题,CDC特别强调无论是否列为常规推荐,所有疫苗都将被以下项目覆盖:
平价医疗法案(Affordable Care Act, ACA)保险计划
医疗补助(Medicaid)
儿童健康保险计划(CHIP)
儿童疫苗计划(Vaccines for Children Program, VFC)
家庭无需自掏腰包支付疫苗费用。
针对联邦层面的调整,纽约州卫生厅今日确认:“在联邦政府近期宣布修订常规儿童免疫建议后,纽约州现行的儿童疫苗政策,包括学校入学免疫要求,目前仍保持不变。”
卫生厅官网进一步表示:“疫苗获取、保险覆盖、法律责任保护,以及联邦儿童疫苗计划均没有任何变化,该计划仍将为符合条件的儿童提供免费疫苗。”
纽约州卫生专员Dr. James McDonald表示:“尽管联邦层面宣布了变化,纽约州长期以来的儿童疫苗接种要求仍然保持不变。联邦政府并未提出任何新的科学证据、安全数据或发现。纽约民众仍可相信,疫苗是预防可避免儿童疾病的最佳保护方式。”
|
 |
|
|
来源:火星宏观
内容提要:
1、美国抗击通胀,离不开中国的廉价工业品;
2、美国发行美元债,乞求中国购买;
3、人民币国际化,会导致美元国际核心货币地位崩溃;
4、美国人工成本太高,制造业无法回流;
5、美国收紧高科技与华合作,是搬起石头砸自己的脚。
最近,莫迪老仙去了趟美国,政界、商界,媒体,对莫老仙的热情,可以说是前无古人、后无来者。一个与老苏、小鹅友好合作了几十年的国家,在小鹅深陷黑土地上天天被乌军胖揍,揍到要拿核弹威胁世界的时候,毅然决然地与小鹅的对手称兄道弟,互诉衷肠,表示要全面深入合作了,其目的已是司马昭之心,路人皆知了。
此事的详细解读请点击阅读《美国讨好印度,是围堵大国的需要,还是其经济吸引力?》一文。
面对来突发的地缘变化和来势汹汹的全面包围,我们应该如何与美国相处?是柔性盘旋,尽量为我所用,还是正面硬刚,加速冲突?
俗话说,知己知彼,方能游刃有余,百战百胜。我们在选择之前,是否意识到,我们对美国存在重大的认识误区?而这些严重的误判,将可能对我们的经济策略、措施、交往,产生重大负面影响。
一、美国抗击通胀,离不开中国的廉价工业品
我们很多人、甚至是大部分人都认为,美国离不开中国物美价廉的消费品。即使在中低端消费品生产线部分转移到东南亚之后,还有很多人认为,美国这两年,之所以出现高通胀,是因为2018年川普先后两次对我们商品加征的关税措施,一直没有取消,高关税导致从中国进口的物美价廉的商品减少,单靠美联储的加息措施无法控制通胀。
实际上果真如此吗?那是因为持有该观点的人,从来只表达观点,不提供论据。
第一、低技术消费品的生产线转移很快。东南亚在低技术消费品对美出口方面增长很快,其产品成本比我们还要低廉。此外,印度、墨西哥的消费品也在快速涌入美国市场,蚕食我们的市场份额。
第二、中国制造对美国物价影响很小。美国贸易代表戴琪在2022年6月22日出席国会听证会时曾明确表示,涉及对华商品的关税,对降低美国的通胀影响十分有限。2022年美从中国进口商品5367亿美元,加征关税部分只有1800亿美元,仅占2022年美国消费额的1 %左右,全部取消关税措施,即降低20个点的关税,仅能影响美国通胀下降0.2个百分点。这对美国通胀的影响的确微乎其微。
第三、从2022年到2023年,美国市场中国制造的比重在降低,但美国的通胀也在降低。2023年4月份,美国进口商品2529亿美元,同比减少1.8%,但从中国进口减少了20.8%。2022年4月,中国商品在美国进口商品中占比16.2%,一年后,中国商品占比下降到13.1%。但美国的CPI 已从去年6月份的高点9.1%回落到今年5月份的4%。
从逻辑上看,美国抗击通胀,真的需要中国的廉价工业品吗?如果离不开,我们就有拿捏对美贸易的手段,不怕他不取消关税措施。如果能够离开,是不是得另寻出路?
二、美国发行美元债,乞求中国购买
美国国债的一举一动,都能长时间占据我们媒体头条与热榜。之所以如此,是因为我们大多数同胞认为,美国发行国债,需要乞求我们购买,我们购买美债,是对美国的大力支持,是我们借钱给美国人花。惹烦我们,抛了美债,美债就要崩盘了,美国就要发生债务危机了,美国经济就要衰退了,美国就要衰落了。以至于但凡美国财长访问中国,自媒体一定会有大量的“来求我们买美债“的文章。
美国真的穷到如此,需要向一个人均GDP只有其17%的国家借钱度日?其实自媒体关于美债的这些炒作点,极其无知也极其无脑。
第一、美国发行美债,从来不会求谁购买。美债就是一种全球来看回报都十分稳定的优质投资品。各国央行的外汇储备以及投资机构,在配置资产的时候,配置多少美债,都是资金管理者自己对美债收益率、风险度的评估与决策。
第二、买美债的,从来都是为了收益,没人为了支持美国。就像我们买股票一样,有谁求你买了?逼你买了?你买了是想投资收益还是想支持上市公司发展?你最多是主观为自己挣钱,客观上有利于人家发展而已。
第三、你不买美债,多的是人买。比如2023年1月份因为美元荒,一些国家包括我们,卖出美债买回自己的货币缓和汇率跌势。自媒体就开始渲染全球抛售美债,美债要崩盘了。但美国财政部公布的美债持有量排名前38个国家中, 17个减持,还有21个增持。美国之外的国家持有美债合计74025亿美元,还比上个月增持了838亿美元,增加了1.15%。
我们长期减持美债的同时,欧洲持有的美债一直在持续增加。与2011年9月对比,2023年1月,我们累计减持了4108亿美元,但欧盟、英国、日本累计增持了14826、5568、1204亿美元。
第四、截止2023年4月,我们仅持有8689亿美元,仅占美债余额的2.7%。即使全部抛售,对美债市场也不会产生多大的影响。
三、人民币国际化,会导致美元国际核心货币地位崩溃
所谓的美元霸权,其实就是美元处于国际货币的核心地位。除了美元,国际货币还有不少。比如欧元、英镑、日元、澳元、加元等等。
在美元后面加上霸权两个字,是我们其他国家灌输美国霸权的一个重要支撑,也是重要论据。
每当美元加息的时候,因为息差导致资本外流,美元升值、其他货币贬值,我们就会发小作文,说美元利用其霸权地位收割各国财富;每当美元降息美元扩张时,美元通过投资与贸易流入各国,美元指数下降,其他货币升值,我们也会写小作文,指责美元利用其霸权,流入各国掠夺财富。
所以,我们用货币互换协议、本币结算协议鼓励各国,联手抗击美元霸权。只要人民币国际化了,美元霸权就崩溃了。问题是:
第一、美元加息是霸权收割,降息是霸权掠夺。这样的小作文,从逻辑上说得通吗?
第二、换成其他任何一种货币接替美元成为国际核心货币,他加息或降息的实际后果,不是一样的吗?那么,到底是美元霸权,还是国际核心货币原本就不应该存在,我们都回到没有国际货币,以货易货的时代?
第三、人民币国际化道阻且长。我们离彻底放开资本管制、自由兑换,还有很长的道路要走,而资本自由进出、自由流通、自由兑换,是人民币首先成为国际货币的基本前提条件。而要从国际货币成长为国际核心货币,还需要人民币所代表的科技水平、市场规模、经济实力、制度信用能够超越其他国际货币而被所有的国家所选择。
因此,人民币国际化从理论上和逻辑上,并不会导致美元国际核心货币地位的崩溃。这个话,现在说还太早,至少需要已经成为国际货币之后才有资格吧。
四、美国人工成本太高,制造业无法回流
由于美国对劳动者的法律保护比我们的标准高很多,我们的双休、每周40小时工作制都还是我们为了加入WTO而被迫接受的西方劳动保护制度。毫无疑问,美国的劳动成本肯定比我们高很多。
但是,我们因此就能够得出美国不适宜发展制造业,美国的制造业回流无法实行的结论吗?当然不能。
第一、劳动力成本只是制造业成本的一部分,劳动力成本高不一定导致产品的生产成本也高。
制造业的成本,除了劳动力价格,还有土地、物流、资金、能源、运输、税收等众多的成本。美国的人工成本高,但他们的其他成本,特别是制度成本,与我们还是有竞争力的。
汽车玻璃大王曹总在一次访谈中谈及赴美开厂的动机时说:“我为什么跑到美国建厂呢?因为我们除了人工成本便宜外,其他什么都贵。美国除了人工贵,其他什么都便宜。”
第二、科技进步正在淡化人工成本。无人生产线、机器人、智能工厂的发展,正在明显降低劳动力成本在制造成本中的占比,不断在削弱低工资对高工资的竞争力。
第三、事实上,美国的制造业回流比预期的还要顺利。根据美国商务部经济分析局的数据,美国的制造业建筑支出在过去一年增长了超过了1倍,2023年4月份又达到了惊人的1900亿美元。自2022年以来,美国的电子行业的快速发展使得工厂建造量超3倍。这也是为什么美国的互联网企业纷纷裁员,但美国的就业岗位却在明显增长的主要原因。美国的制造业新投资项目,不仅来自于美国本土资金,还有大量的海外企业在美国新建工厂。
美国制造业快速回流,特别是半导体投资大幅度增长,不仅摧毁了美国不适合发展制造业的谬论,还对我们的产业升级带来较大的困扰。我们在布局产业升级和半导体产业时,一定要考虑这一变化对我们今后高技术含量产品海外市场的干扰。
五、美国收紧高科技与华合作,是搬起石头砸自己的脚
近几年,美国制裁华为、中兴,采取了越来越多的打压中国高技术产业、特别是半导体产业的措施。毫无疑问,美国就是想阻碍我们的技术进步和经济崛起。我们应该采取切实可行的措施来与之周旋、应对,想办法打破美国对我们的高科技封锁与围堵。
但我们发现,每每美国有打压我们高科技的措施,就有很多人说这是美国搬起石头砸自己的脚。比如制裁华为时有人说,没了华为5G,美国人就用不了5G。还有人说,我们并非制造不出来芯片,我们不做,是为了给美国企业订单,因为没有我们的订单,他们就活不了。
6月28日,胡锡进也发表作文说:美国对华政策将是“瞎忙活”,且收益率极低。比如,他们搞“断链”影响不了中国的经济发展,反而促进了中国的科技自主创新,损害了美国头部科技企业的利益。
我总觉得,这些说法,极其荒谬无知。
第一、如果美国打压我们,是美国搬起石头砸自己的脚。我们有什么道理反对美国的打压啊?还祭出什么反制措施啊?应该欢迎他快点打压,让美国快点砸死自己啊!
第二、如果说美国对我们高科技企业的围堵,会促进我们的科技自主创新,损害美国头部科技企业的利益。那我们也应该欢迎美国的围堵啊!对我们有利、对美国有害的事,我们为什么要阻止呢?
第三、事实上,我们要承认,我们的高科技发展,还真的需要来自美国的技术、人才、设备和资金。华为营收从2019年的8588亿元,下滑到2022年的6423亿元,现在连5G手机都无法制造,只能生产4G手机,我们最牛的科技企业都如此,何况其他企业呢?
明明对我们负面影响很大,却要说有利于我们发展。这样的小作文,这样的逻辑与话术,不仅于我们突破其打压无益,让美国人看了,连愧疚都省略了。
|
 |
|
|
来源:StephenYeong
一周年碎碎念,一点微小的个体记忆
一年前的今天,上海两个月的封城以上海发布的“6月1日起有序恢复住宅小区出入、公共交通运营和机动车通行”结束,当然了,封城的开始也是上海发布,3月28日的“新一轮核酸筛查”。解封的推文下,上海发布放出来的评论是“我是六月一日过生日,感谢上海政府的礼物,我超喜欢!”“我爱魔都!”。
2022年的5月31日应该还是个工作日,下午守在电脑面前摸鱼(和上班)。打开手机发现楼道群里说小区的门开了,可以自由出去了,之前几天一直讲的是一个楼道有一两个名额一天可以出小区的门。昔日的卡口确实消失了,扫开一辆单车漫无目的的骑起来,一种巨大的陌生和手足无措感袭来,我获得了曾经在监狱里渴望的自由,但我要这自由做什么?就像肖申克的救赎中假释出狱的老大爷最终上吊自杀了一样。不远处的菜市场开始熙熙攘攘,人们涌了出来,买菜买肉,我也去苹果花园买了一只吐司,但为什么要买吐司?现在想想可能还是对食物缺乏的惶恐,那个吐司最后也就吃了三分之一,过了保质期就扔掉了。
如每一个在上海的市民收到的信息一样,鸳鸯锅封城,只要四天就完事。我买了一打方便面,和生菜鸡毛菜,最后一天还在公司(3月末日均确诊三千例的时候我居然还正常线下上班)旁边的精品超市抢购了一盒伊势万绿湖可生食鸡蛋—那个超市能买到的最便宜的鸡蛋,和一盒牛奶。现在想想这样保守的囤积物资多少有点可笑。鸳鸯锅封城先只封浦东,于是所有的跨江的地铁线都只驶到临近黄浦江的车站,3月30日时还去体验了一番如此的盛况,二号线终点站南京东路,四号线终点站南浦大桥,八号线终点站终点站小南门,晚上七点钟的人民广场站空空荡荡,只有保洁阿姨在徒劳的拖地。从南京东路走向黄浦江边,空无一人的南京东路还是第一次见到,同样空荡荡的江堤上有人跑步,望向对岸,陆家嘴的灯光还是毫无异样地辉煌,从金陵东路走去豫园站,回望外滩的方向,江对岸花旗银行幕墙上的LED上是巨大的I♥上海I♥侬(侬是上海话中的“你”),映照在空旷的路上。
几天后食物自然即将耗尽,楼道群里的人们开始寻觅团购群,我团到的第一批东西居然是意面、玉米片和粗粮饼干。我拿了两包烟跟楼上换了海底捞番茄底料,番茄底料加洋葱番茄和随便什么肉,浇到意面上,也确实像那么回事。接下来是蔬菜包、肉、两块钱一个的鸡蛋、面包和水果,想要靠叮咚美团抢菜是徒劳的,只有自组织的团购才稳定靠谱,只不过要等上几天才能收到。起初还是一天三顿饭,早上麦片中午吃个泡面晚上和室友炒两个菜闷一锅饭;中间一度团到了面粉,从楼下借了擀面杖,和了面擀饺子皮包饺子,从下午一点忙活到八点钟才吃上,也就折腾了那一次就再也不弄了;后来一天两顿,随便炒个鸡蛋做个粥就是一餐,家里没有称,解封了去表哥家吃饭,一称瘦了20斤。
封城中本来准备写些日记,结果只零零碎碎的坚持了几天时间,之前有一篇已经发到了matters上-今天是上海封城的第53天,还有接下来封城初期没有那么愤怒时候写的:
4月13日 Lockdown的第13天
已经渐渐习惯了居家的生活,早上八九点钟起来,洗个澡回回邮件,下午煮点茶喝,傍晚给室友们做个饭,饭后盘点下剩余的物资和明天该做些什么菜。已经没有居家初期对于食物的焦虑,社区的团购带来了充盈的食物,至少对于年轻人而言是这样的:从牛奶到蔬菜,面条大米和菜馒头应有尽有。我自觉已是上海疫情封锁中受影响最小的人了,封城的时间最短、有固定的工作可以线上办公、没有被感染上covid…现在的病毒真的还有那么可怕了么?如果还是如两年前一样的话,那外国政府都视人命如草芥了,这两年国内的施打疫苗、处置患者的经验都是不存在的了么?
(一年后的评述:关于感染后被拉去方舱中,方舱里老人的境遇可以看一下我的朋友Hayami写的《我在方舱,看见老人们的孤岛求生》。曾在墙内的微信公众号获得一千万的点阅后才被删除。)
4月14日 Lockdown第14天
晚上做饭的时候对面楼又一次吹起了萨克斯,这一次演奏的是《明天会更好》。在被封城的现在能听到演奏这样的一首歌,确实有如沙老师在文中所说的“不亚于在冰箱里忽然发现还有一瓶可乐”。可对于现在的环境里,明天真的会更好么?至少对我而言对当前撕裂混乱社会的厌恶、对未来的不确定性的担忧远远大于对未来的企盼。明天会更好于1985年首次演唱,两年后台湾戒严令被取消、多年来的党外运动走上了台前;那一年前的大陆在改革开放后,文化和思想都有着极大的自由…
(一年后的评述:上海解封前几天,在前法租界的延庆路上,便有市民在街头弹唱起《明天会更好》,在微博等墙内平台被转发了许多次,对于我自己而言还是最喜欢街头的这一版,更富有生机和力量。最近刷ig时才发现1989年香港社会民主歌声献中华时候也曾一度献唱过这首歌,让上海乃至全国发生的事情于四十年前的事情产生了关联)
核酸是无休止的。就像上学时候运动会走队列练习一样,走一次,不行,再走一次、再走一次,每天的新增确诊从三千变成两万三万再缓慢的下降。也是封城后才晓得小区居然有像学校那样的广播体系,来催促你去做核酸,而毋需如很多小区一般要社区的人手持一个大喇叭在窗户底下喊。起初还很正常,按照楼道的号码依次喊去做核酸,接下来是在开始做核酸前播放红歌,社会主义好我爱祖国将士们听党指挥,特别还是在早上六七点钟时播,大抵是为了提醒您别忘了赶紧起床做核酸。还送了很多很多很多的抗原,每天打卡上传,后来也懒了,一个核酸片片儿能拍一周直到褪色。
离开上海前的几天,平日在天津工作的好朋友来上海玩,阴沉闷热的天气里我们从徐家汇书院走到徐家汇公园,她问我,你会不会对上海有归属感?很难回答这个问题。来了一年多没有户口没有房子,甚至连暂住证都没办,从户籍的角度上来说我和盲流没有本质的区别,还记得公司里的本地同事一本正经的跟我分析半个小时这个拆迁给了多少钱多少套房子,这个晚拆迁了几年就多给了多少。但归属感又不是明明白白白纸黑字的户口对吧,归属感可能像幸福感一样,是点状的而不是条块状,和朋友在解封后的街头喝酒、吃老弄堂的苍蝇馆子、给没带口罩的爷叔送一个口罩、和准备在上海买房子的朋友讨论各区的区位(?)以及在去年的11月街头行走,归属感在每个小小的事件中随机存在。
清空房间是一个大工程。明明记得来的时候只有一个背包和一个箱子,把书送了好多朋友、能挂闲鱼挂闲鱼之后还是好几大箱子。最难抉择的是把什么衣服扔进登山包里背走,这个带不带、带两件还是三件、本来还想带三双鞋,结果登山包完全放不下只能带两个,完全忘记大学时候长程旅行的登山包是怎么收拾的了。最终也只放进了平日很小一部分的衣服,之前还总觉得衣服不够穿的,或许人生活在世界上需要的东西真的不太多。
最为舍不得离开上海的还是这座城市丰富的公共空间和同温层的朋友们,每周不重复的活动在市区的每一个角落中进行茑屋书店半层书店黑石公寓育音堂日领馆兰心大剧院;今年三月份考语言考试前准备的时候还去了好几家图书馆,普陀区图书馆、上海图书馆和上图东馆,最后还是觉得上图老派古朴的气质最为对胃口,如果人不多的话徐家汇书院也会是一个好的选择。
我在上海的朋友们大抵是从豆瓣、播客听友群和同好群里认识的。已经消失了好几年的好奇心日报的读者群还存在着,和上海的群友们形成了小小的线下同温层,在严老师索老师的润府度过了一个个美妙的夜晚,想来第一次的抗原还是在可以望到浦东四件套的虹口一代润府里做的;和翻电群友们则是在一次次的群代会中熟络,从永福路上的雍福会到莘庄的圣诞派对、以及11月路上行走后逾三十个人挤在李师家小小的客厅,复盘这震撼人心和公民教育101的一晚。李师走后,故宅被wayne师接手,成为群友们举行活动的公共空间,每周电影放映、碎片谈,当然更多的是不定期的骑行观展吃饭和喝酒。爱每一位同温层的朋友们,也祝大家应润尽润,心想事成。
中环到北翟高架到虹桥枢纽,曾经出差旅行和送表哥离开上海的路线再熟悉不过,对城市交通地理的亲切应该也算是一种归属感。值机托运安检登机,同样熟悉不过,但这一次在上海没有了可以回的家,这天很炎热,徐家汇气象站的温度打破了历史记录,飞机一跃而上进入云层。
再会了上海、さよなら。
|
 |
|
|
来源:YouCore
在《鲁豫有约》这档访谈节目中,当主持人鲁豫采访嘉宾时,如果得到的回答与她的预期不符,她会习惯性回一句话:“真的吗?我不信!”
这样的质疑,常常让嘉宾感到尴尬,甚至哑口无言。
就连鲁豫自己,后来也忍不住在脱口秀中自嘲:她刚到凤凰卫视主持节目《凤凰早班车》时,工作非常辛苦,但身体却一点问题都没有。
体检的医生对她说:“没问题呀,你这么健康,工作肯定很轻松吧。”
鲁豫回答说,“我天天工作十几个小时呀!”
结果医生回道:“真的吗?我不信!”
随后,鲁豫开始吐槽这句话,“这大夫说话怎么这么难听啊。”
像鲁豫一样,我们都清楚没有人喜欢被否定;但在实际沟通中,我们却又经常忍不住反驳他人。
比如,当别人兴致勃勃地分享一个最新发现时,有些人会回答说:“你才知道呀,我早就知道了。”
当下属向领导汇报工作想法时,有些领导会立即回复:“你这个思考逻辑是不是有问题啊?”
当你习惯了反驳他人,你会发现主动与你交流的人会变得越来越少,偶尔难得有个人来跟你交流,你往往也是跟对方聊得不欢而散。
既然习惯性反驳对人际关系损害这么大,那么我们该如何调整这种表达倾向呢?
你不妨试试以下三点建议:
01 第一回应Yes
每个人心中都有一套自我保护的心理防御机制,为了保护自我的认知、立场和自尊,当听到反驳时,这个防御机制就会咯噔一下激活,让你不自觉地反感对方的言论,哪怕对方说得天花乱坠,你也听不下去。
因此,对别人话语最好的第一回应永远是“Yes”。
当对方听到你说“Yes”后,自我保护的心理防御机制就不会被触发,他会不自觉地开始听你说yes之后表达的观点和意见。
你可以观察下,你周围那些和人相处愉快的朋友、会管理和激励人的领导,是不是大都是“yes”派呢?
要说好“yes”,由浅到深有三点方法:
1 简单附和
这是最容易做到的,你只需要点头,说“是的”,“你说得对”即可。
只要做出认同的姿态,哪怕你是假装的,对方也会忍不住对你产生好感。
2 提炼认同点
从对方的表述中,提炼出要点,并以特别认同的方式讲给对方听。
例如,有人跟你感慨:“我觉得管人啊不能一刀切,要能容忍不同人的缺点。像谁谁谁,她办事一根筋,不知灵活变通,与其要她灵活变通,不如就只给她安排需要原则强、变化少的工作。”
这段话你听了后,就可以提炼出认可的部分,并反讲给他听:“你说得太对了!我们做管理,就是要像你说的这样,用人所长、避其所短。”
这种提炼认同点的Yes,就比简单附和的效果更进一步,对方不但对你有好感,而且还觉得你有水平,你的认同有价值,就更愿意继续跟你聊下去。
3 感同身受
如果你还能设身处地地理解别人的情绪,做到感同身受,那这种Yes就更高级了,对方会视你为知音。
不过这一点比前两者都要困难很多,因为它要求你跟对方有类似的身份地位、价值观、知识结构或者相同的成长经历。比如一起同过窗、一起扛过枪。
所以,这种Yes作为可选项即可,碰巧能做到更好,实在没法共情,做到前两点也完全够用了。
只要你能将自己的第一回应,默认改成“Yes”模式,一周之后,你就会发现自己和别人的对话会流畅很多倍。三周之后,你跟周围人的人际关系就有明显的改善。
02 降低Ask的质疑感
跟人对话时,第一回应默认用“Yes”,肯定是最佳选择。但如果在对话过程中,你只是一直点头表达Yes,对方就会觉得你在敷衍了。
特别是许多人的表达能力有限,很多时候他自己都觉得没说清楚,你却点头说Yes,不但不会拉近跟对方的关系,反而会让对方瞧不起你。
所以,人际沟通时还得会Ask,用提问跟对方做一些澄清。
这时问题就来了,提问问得不好,就很容易让对方产生被质疑的感觉,觉得你是在质疑他。
我就亲历过一个反面例子:
前段时间,我闺蜜(差点成了前闺蜜)追剧时喜欢上了一个明星,我们闲聊时她感慨道:“朱一龙真帅啊。”
我没多想,直接回了句:“哪里帅呢?”
她当即和我翻脸,觉得我质疑她的看法很可笑。
我是真委屈呀,因为我压根没想着质疑她,确实是不知道朱一龙长什么样,就是单纯想问下他哪个地方比较帅气。
但没留意提问的方式,就被闺蜜误解了。
在生活中,和闺蜜发生这类误会还好,因为彼此了解对方的为人,事后很容易解释清楚。
但如果是在工作中或者和还不太熟悉的人发生这种情况,他们可能就不会当面跟你表达不满,而是会私下认为你爱抬杠、情商低。
我经常因为爱提问发生类似的误解后,痛定思痛总结了三个减少Ask的质疑感的方法,跟你分享下。
第一,Ask前,先表达对对方观点的理解。
比如,“我理解你的意思是......,可以再进一步解释......吗?”,“你刚才提到的观点很有启发性,可以再具体说下吗”。
这可以让对方明确我们提问的出发点,是真诚的理解与好奇,而非质疑他的立场。
第二,Ask时,避免使用绝对或极端的词汇,如“为什么”、“真的”、“怎么会”。
这些词汇容易让问题显得过于直接、甚至挑衅。
你可以选择更温和的措辞,让提问的语气显得更开放和中立。
比如,“请具体解释一下”,“请举例阐明”,“可以详细描述......的原因吗?”。
第三,观察对方反应,在必要时澄清Ask的目的。
如果察觉对方有被冒犯到的信号,立即适时重申你Ask的目的。
比如,“请不要误会,我提问的目的是为了更全面地理解您的观点。”
像上面这样降低Ask的质疑感后,你的提问就只会拉近跟对方的关系,而不会被对方误解了。
Image
03 正确表达No
第一回应“Yes”,对话中适时Ask,你已经完全能够拉近跟任何人的人际关系了。
但如果你还想有更进一步的效果,让对方不仅是亲近你,还更看重你,甚至崇拜你的话,那还得学会正确表达No。
如何正确表达No呢?
在辩论节目《奇葩说》中,蔡康永表现出的三项辩论技巧就很适合我们上手应用。
1 引用例子来表达相反的观点
《奇葩说》有一期的辩题是:“痛苦的绝症病人想要放弃自己的生命,我该不该鼓励他撑下去?“
蔡康永没有直接说“不该鼓励”,而是以他主持的《康熙来了》为例,说节目当时宣告停播的时候,很多观众鼓励他继续做下去,但是他压力很大,不开心。他更希望观众们能够肯定他的过去,让他离开,这样他反而会更舒服。
像蔡康永这样,通过引用具体的例子来阐述相反的观点是一种有效的策略。
通过引用具体的例子或讲故事,可以直观地展示相反立场的影响和后果,从而更能增强对方对你相反观点的接受意愿。
在实际工作中,当你想要表达No时,同样可以多采用这种引用例子或讲故事的方式。
比如,不赞同对方的方案时,你可以回复,“这套方案我之前正好用过,当时的具体情况是…”,或“类似的方法正好其它有项目用过,具体情况是…”。
基于具体事实或实例提出的异见,会显得你更加中立和理性,也更易被对方接受与理解。
2 表达对对方的关心和担忧
针对辩题“没有上进心,有没有错?“,相比于其他辩手言辞激烈地输出自己的观点,蔡康永不是给出自己的观点,而是站在对方的角度表达出自己的担忧和顾虑:
“我没有办法说没有上进心是一个过错,可是我有把握地说,没有上进心,你一定会错过。”
当你像蔡康永这样,站在对方的角度,设身处地地为对方的处境表示关心和担忧,对方自然就会愿意听取你想要表达的内容。
工作中,当你想表达不同意见时,也可以运用这个技巧。
可以这么说,“我担心这个时间节点实施,会影响你任务的最终完成效果”,或“如果没有进一步落实相关条款,后面推进这个方案,我担心你会遇到困难”。
3 提供替代方案
针对辩题“该选择爱你的人,还是你爱的?”,当对方辩手提出“选择我爱的,因为我要主动追求让自己成为一个更好的人”的观点时,蔡康永的回应是这样的:
我觉得大部分人在一味在爱对方的时候,常常是忽略了自己最美好的部分。
我们常常不够爱自己,常常要通过爱我们的人才能够发现我们自己有多么好,所以我们最后是依赖着那个深深爱我们的人,而让我们相信自己值得被爱,我们是一个好的人。
因此不要轻易拒绝,让你感觉到自己好的机会。
在不得不否定对方的同时,像蔡康永这样,给对方提供一个更好的替代方案,告知对方:“其实要达成你的目标,可能存在一个更好的方案供你参考。”
这样,对方不仅不会反感你的否定,还会认可你的专业,甚至感激你的建议。
在工作中,当你想表达不认同时,也务必要提供一个替代方案,这样就可以给对方传递一个友好信号:我的异见是基于对问题的深入思考,是想帮你解决问题的,而非主观反对。
用好上面三个正确表达No的方法,不仅不会让对方产生反感,而且还能让对方感知到你是在帮他更好地实现目标或帮他变得更好。
04 小结
习惯性反驳的根源是,你更乐意停留在自己的舒适区里,按自己习惯的方式与人交流。
这么做了后,你确实是爽了,但也给别人留下了“与人为难”“爱抬杠”的不良印象,从而摧毁了自己的人际关系。
挽回的方式切实也挺简单,就是转变自己与别人的说话方式即可。
1、与人交流,第一回应默认讲“Yes“。
2、当需要提问时,减少Ask的质疑感。
3、不得不表示不同的看法时,用以下三个技巧正确表达No:引用例子、表达关心和担忧、提供替代方案。
|
 |
|
|
来源:李承鹏
资料图片:李承鹏
我没有女儿。但对拥有女儿那种如饴在口的美好,感同身受。
有一天,春运。因为急着要去西昌采访,我挤上了一趟长途客车。人多极了,那趟车开进新南门客车站时,坝子上的人忽然像被磁铁吸引过去的粉末。司机并不立即停住,点一脚油门踩一脚刹车。粉末们一会东一会西。好歹停住,人们像抛石机一样抛进行李,有的从门里进,有的直接从窗户翻进去。
那是九十年代末的一个普通场面,空气里混杂着汗味,脚臭,蔬菜味,我身边坐着一对父女,准确的说是从窗户外冲进来一对父女,他把女儿递给我,自己又翻进来。
也不怎么谢我,坐定,他就急急地不知从哪儿掏出一只苹果,粗砺的手擦了几下,让女儿吃。女儿约莫四五岁,眼睛很大,眼仁黑黑的透着灵气,是西昌、大凉山女孩子常见的长相。
那地方的小女孩,干净的像未经雕琢的玉。她吃着吃着,就睡着了,阳光晒了进来,照得她的鼻翼也有些透明。
那父亲看着阳光,忽然掏出一张帕子,挡在窗上,其实是挂在窗帘早不知去向的一根铁丝上。车厢晃动,不一会儿,帕子掉下来,他又挂上去,用粗糙手指把帕子仔细卷在铁丝上……再一会儿又掉下来,他就不断挂上去。
最后他用身体挡住阳光,车行路上,阳光的角度不断变化,他调整着身体的姿势。其实徒劳。
但他很幸福。
我有些嘲笑,这粗人刚才为什么不用帕子擦苹果。
快到眉山时,忽然一脚刹车,女孩的头撞到前面座椅,哭了。那父亲破口大骂司机,很脏的川骂。又怕女儿疼,给她揉了揉额头,她哇的就吐了,他一伸手,接住了。
女儿一直吐,他一直用手接住,直到女儿平静下来时,他才有空扯下那张帕子擦自己的手。
我想,这是出门在外打工父亲用的万能帕子吧。
不一会儿,车停休息区,那时还叫加水。父亲抱着女儿冲下去,抢占了水龙头,给女儿洗着吐脏的前襟,手,脸……
天很冷,为了怕张冻疮吧,他又不知从哪儿掏出一盒抹脸的,擦手,擦脸,很仔细,却严重不分顺序。
这样的父亲终会老去,老得抱不动女儿,翻不进窗子,挡不住阳光刺眼。女儿慢慢长大,亭亭玉立,即将迎接自己的爱情、婚姻……
白居易写过一首极美的诗:苏家小女名简简,芙蓉花腮柳叶眼。十一把镜学点妆,十二抽针能绣裳。十三行坐事调品,不肯迷头白地藏。玲珑云髻生菜样,飘摇风袖蔷薇香……
有一天,这女儿走在路上被一棍子打晕,拐了坏人家,用铁链拴住,生了八个孩子,得了精神病……
你却认为这是中国农村的不良风俗和贫穷使然,谁都想娶妻生子,跟饿了要吃饭一样,拐跑一个女孩,人性而已。
这太脏了。
为什么要站在施暴者的而不是受害者的立场呢呢?显得视角更广,更宽容吗。
你听得见女孩被强暴时呼唤天地无应破碎的声音吗。
真希望铁链女的父亲是杨佳,或者美国那个父亲。当全村目睹悲剧,二十五年连个报警的人都没有,此时别装逼告诉尚存正义的人:你要遵守法律。
双方不对等时,装公允,就是帮凶。
周云蓬唱不要做中国人的孩子,不要做乌鲁木齐的孩子不要做云南的孩子不要做南充的孩子。
白居易那首诗写的极美也极悲伤,后面的结局,我尝试翻译成大白话:
这漂亮的女孩啊,能把头发编出各种花的样子,她走起路来,衣袖间都飘出蔷薇的香气。
她举手投足,都那么婀娜多姿,她转动起来,浑身上下像是发着光一样。
这花儿一样的女孩,却在她即将出嫁的前一年,突然死掉了。
不要悲伤啼哭啊,她也许本不是世间凡物的妻子。她恐怕是天仙贬谪,只合着在人间待到十三岁。
好物易逝,彩云易散,琉璃易碎。
这段短文字,不算文章,手机上匆匆写就,最后:
每一个文字都是一个具灵性的符箓,我手写我心。别乱写,有报应。
|
 |
|
|
来源:推特
近日网络热转一篇网易跟帖,一名黑龙江省的网友贴文引发关注,贴文强调“你们是你们,我们是我们”“我们没有一寸土地,你让我保卫啥?”
近日,网传针对打台湾的话题,网易跟帖中一位黑龙江网友写道,“你们是你们,我们是我们,别我们我们的,我们没有一寸土地,你让我保卫啥?”
“我们没有养老,没有医疗,没有住房,我们的孩子上学要房产证,要分学区,要各种费用,我们没有特供,我们没有资源,没有生产资料,我们连摆摊的地方都(没有),没有生活来源”。
“三年疫情你们没给我们一个口罩,现在的疫情大爆发没给我们一粒药,我们现在感染的这么重,你们不管我们死活的,所以别我们我们的,我们是我们,你们是你们”。
“生孩子想起我们了,献血想起我们了,打仗想起我们了,你们让你们的子女去打吧,我们不去,我们保卫谁?保卫哪些人群?保卫我们没有任何希望的生活吗?”
“再说了,他们打的也不是我们,而是你们,让你的子女子孙去吧,让你们的子女子孙从世界各地回来上战场吧!”
此外,美国众议院两党近期合作成立应对中共的特别委员会,同样强调在实施过程中区分中共与中国人民。稍早前的1月10日,美国会众议院以365票赞成与65票反对通过成立“美国与中国共产党战略竞争特别委员会”,重新评估美国对中国的外交政策。
首任主席、共和党联邦众议员麦克·加拉格尔(Mike Gallagher)在致词中说,“我们必须在国会建立联合的力量来对抗中国共产党,在实施过程中的每一步,我们都必须确保把中国共产党和中国人民区分开来,我们与中国人民没有争执,而且他们往往是中共侵略和镇压的主要受害者。”有分析指出,这次把众议院将此特别委员会刻意命名为美国与“中国共产党”战略竞争,表明美国的新一届国会继承并发展上一届政府的理念,将“中共”和“中国人”清楚区分。
美国从上一届川普政府开始,将中共与中国清晰区分开来,前国务卿蓬佩奥多次公开强调,“中共不等于中国人民”,“美中冲突只是美国和中共之间的冲突”。
|
 |
|
|
来源:万维
关于小费这件事,加拿大人已经吵了很久了。尤其是在疫情后,服务行业的员工似乎为了弥补大流行中的损失,期望消费者给越来越多的小费。于是POS机上自动出现的“0”小费消失了,而且百分比也暴涨。
现在往往看到的最低小费为15%,最高的已经到了30%。如果吃顿饭+13%税,并且在税后再加30%小费,基本上是基础价格的一半。很多加拿大人现在对什么时候应该给小费,以及给多少小费已经非常困惑。随着加拿大几乎所有东西的价格都在上涨,小费越来越贵也引起了很多人看不惯。在 Reddit论坛上,一位用户问大家:“你对小费文化有何看法?”,结果这个话题引爆口水战,大家都在热烈讨论。楼主自己写道,“我感觉小费已经失控了,随着持续的生活成本和通货膨胀危机,即使通常不给小费的地方现在也要求你给小费,这很荒谬……而且,这些地方的默认选项最低要18%!我想知道这算什么 我想听听大家的想法。”有人马上表示同意,“小费已经完全失控了,我们现在的小费率是世界上最高的,这个百分比高得不合理,而且要求提供小费的行业数量每天都在增加。”还有人在出国旅行后对加拿大的小费文化更看不惯了,觉得这种费用很残酷。
有网友说“今年秋天我在欧洲呆了几个星期,现在完全看不惯加拿大的小费方式了。在欧洲,小费是不被期望的,如果你真的想给小费,也就是留下几欧元。”
有人开始爆粗,“老实说,我TM太讨厌给小费了,”不过这位网友就明确表示他不会将这种情况归咎于餐馆服务生。
“在爱尔兰,你过去常常给 2-3 欧元作为对真正优质服务的感谢。在这里,我预计至少要给最低限度的 10%。重点是,这不应该强迫。”同样,其他人也对在没有餐桌服务的情况下被要求给小费感到越来越沮丧。
“无论 POS 机‘建议’什么,我都不会给餐厅柜台服务或外卖订单小费,”有人写道。关于什么时候绝对有必要给小费,礼仪专家丽莎·奥尔 (Lisa Orr) 在接受Narcity采访是分享了一些建议。Orr 说:“我要说的一个情况是,加拿大的小费真的是没有商量余地。如果你负担不起,你就不应该去餐馆用餐。”她解释说,如果您不打算给15% 到 20% 的小费,那么您会主动损害服务行业的底线。“这是人们的期望,也是餐饮业人们维持生活工资的一部分,”她说。“所以这是我认为在社会上真正没有商量余地的地方。”大家现在吃饭给多少小费?对加拿大的小费怎么看?
|
 |
|
|
来源:自由时报
在本届冬季奥运中,代表中国出赛的中美溷血滑雪女将谷爱凌(Eileen Gu)因国籍问题饱受争议,对此作家颜择雅认为,谷爱凌应该没有违反奥运国籍规定,但真正造成的问题是打击亚裔在美国的形象,并可能对亚裔人士在美国入学时造成负面影响。
颜择雅在脸书撰文指出,中国需要谷爱凌那片金牌,但美国并不需要,谷爱凌在中国赚钱,美国只会在意她有没有老实报税,至于国籍问题,谷爱凌宣布效忠中国队时,有告知美国与国际滑雪协会,因此无论有无放弃美国籍,应该都没有违反奥运规定。
但颜择雅点出,谷爱凌真正的问题是打击亚裔在美国的形象,而且她一边准备为中国出赛,一边以美国公民身分申请总统奖学金与斯坦福入学,但在美国,国籍对申请大学入学以及奖学金而言相当重要,何况牵涉中国。
因此颜择雅担心,谷的行为未来会影响亚裔的大学申请,门槛恐将更加提高,因此颜表示,亚裔根本应该谴责谷爱凌,但伤害已经造成。
|
 |
|
|
有部分文章,我们一时没找到原创者,如果您申请了原创,但我们推送过程中并没得到提醒,如有版权问题,敬请联系我们,email: info@dadi360.com,我们会立即删除,谢谢!
|
 |
|
|
温馨提示:大家交友时多加小心,严防坏人钻空子!如遇到不良意图的邮箱或QQ号,欢迎网友汇报,我们将贴出来让大家知道!!
这是“交友征婚”版,请商家或个人不要在此版作传销或找下线!
|
 |
|
|
没钱找小姐。
想找女女一夜情。
jwick88@yahoo.com
我住Brooklyn, NY。 8大道附近。
好期待哦。
|
 |
|
|
Adams 欧美亚区域研究中心成立以来,曾为不同类型的客户提供咨询服务,包括规模庞大的国际化公司、成长迅速的本土企业和各类政府部门和民间社团机构, Adams 拥有一支专业化的、有丰富经验的顾问队伍。现有研究人员来自政治学、经济学、社会学、市场营销学等相关专业,项目人员拥有丰富的市场研究、营销策划、市场 运作以及企业管理咨询的专业经验。招北美、加拿大等地区市场分析研究员。
职责描述:
1.研究分析及编写报告。
2.为团队提供相关业务信息及资料。
3.主要从事研究方案实施,数据信息和文字处理、数据分析、撰写调研分析报告。
职位要求:
1.具相关智库调研经验者佳,国内外名校生优先录取,留学生兼职亦可。
2.善于分析归纳总结,有较高的报告撰写能力。
3.熟悉调查研究,能够独立从事研究,有较强的文字分析能力。
4.有广泛人脉资源可支持工作。
联系人:人力资源部 冯专员、蒋专员
信箱:hrinfo@adams-2003.com
|
 |
|
|
注册会计师办理个人、公司财务报表,年终报税.
快速准确,收费合理. 个人$30, 公司$50 起.
电话. 401-404-5419
|
 |
|
|
由我江苏省人民政府侨务办公室主办的2011“海外华侨华人高层次人才江苏行”活动定于今年6月在江苏举行,热忱欢迎贵会有意来江苏创业发展的高层次人才报名参会,相关活动信息附上,同时,也可登录国家千人计划网站或国务院侨办网站查询。祝好!
江苏省人民政府侨务办公室经济科技处
蒋敬兵
为认真落实《海外人才为国服务计划》,积极为海外华侨华人高层次人才回国创新创业搭建交流合作平台,在国务院侨办经科司的大力支持下,江苏省人民政府侨务办公室将于2011年6月22至25日举办“海外华侨华人高层次人才江苏行”活动。
热忱欢迎博士毕业在海外工作三年或硕士毕业在海外工作五年以上、拥有自主知识产权项目或专利技术且有意到江苏创业发展的海外华侨华人高层次人才踊跃报名。我们将根据报名人员的技术或项目,经与有关市对接评定,遴选确定正式参会人员,并发出邀请函。参会代表在苏考察期间的食宿行费用由我方承担。
报名时间:即日起至2011年3月31日止。
报名方式:请用中文填写好报名表,邮件发送至我办。
联 系 人:江苏省侨办经济科技处 吴新华、蒋敬兵
电 话:025-89638834,89638841
传 真:025-89638850
邮 箱:jjbqb@126.com; wxhjsqb@hotmail.com
附:报名表、招才引智需求及相关政策
江苏省人民政府侨务办公室
2011年1月6日
|
 |
|
|
百捞汇火锅海鲜酒家 (百撈匯火鍋海鮮酒家 B.L.H Shabu Shabu)
142-38 Roosevelt Ave.
Flushing, NY 11355
Tel. 718-961-1668
时尚火锅 正宗粤菜
|
 |
|
|
严氏美食坊 (嚴氏美食坊,Jack Yan's Restaurant)
41-28 Main Street, 3C
Flushing, NY 11355
Tel: 718-939-5472
|
 |
|
|
海都大酒楼 (海都大酒樓,King Star Restaurant)
6022 8th Avenue
Brooklyn, NY 11220
Tel: 718-492-6888
|
 |
|
|
金煌大酒楼 (金煌大酒樓,Bamboo Garden Restaurant)
6409 8th Avenue
Brooklyn, NY 11220
Tel: 718-238-1122
Tel: 718-238-1113
|
 |
|
|
纽约州执照验屋师,诚信可靠。专业服务,真正代表客户利益。
Architectural design
Violation removal, C of O.
违章更正,新屋改建,申请CO,修理估价房屋。
NYC/NYS Asbestos Lic. number: 115788
纽约州注册工程师执照#:115788
石棉检查,石棉报告,
NYS Home Inspector NYS Pesticide/Termite
纽约州注册工程师,全能验屋,杀虫/白蚁执照,白蚁证书。
Tel: 1-646-234-1884, Kevin Mai (Project Manager)
Fax: 1-718-961-3885
email: nycqueens2002@yahoo.com
PO Box. 580211
Flushing, NY 11355
|
 |
|
|
南京大学——纽约大学理工分校创新创业学院执行院长招聘启事
南京大学——纽约大学理工分校创新创业学院(简称创新创业学院)现面向海内外公开招聘学院执行院长,热忱欢迎海内外专家、学者前来应聘。
学院简介:
创新创业学院是南京大学与纽约大学理工分校加强两校深层次合作交流、致力实现双方的国际
化建设目标而创立的具有高度创新意义的教育实体,以促进高等教育国际交流、打造创新创业教育品牌、提升社会及企业创新创业素质、推动科技创新成果孵化和产
业化为目标。其目的是充分整合和发挥中美两所著名大学的优质教育资源和国内外相关资源,通过全新的教育理念和教育方式,为中美双方人员,特别是为政府工作
人员、企业界人士及大学生进行创新创业教育,同时开展国际教育交流,实现科技创新成果的产业化。创新创业学院由南京大学及纽约大学理工分校双方代表组成的
管委会管理。院址设立在南京市仙林大学城.
岗位职责:
全面负责学院建设发展,
主持学院行政、财务工作及学院项目发展,包括通过各种方式支持项目运行。目标包括培养科学、工程、管理及其它领域的未来领导者;促进两校的课程建设、教学
和研究合作;通过创新、科技和管理培训为国内外企业提供专业支持;促进南京大学与纽约大学理工分校之间的教育及科研合作;实施创新创业项目支持南京及长江
三角洲地区的经济社会发展。
应聘条件:
应聘者年龄不限,身体健康,具有技术或管理专业背景和硕士或以上学历者优先。要求应聘者
领导能力强,富有开拓进取精神,有战略眼光,对创新创业活动有较为深刻的理解和知识;能够熟练运用中英文交流,在工商界或学术界有十年以上丰富成功的工作
经验。具有在中国或美国的跨国公司工作经验者优先。
聘任期限和待遇:
聘任期限三年并可延聘;工资待遇参照南京大学高层管理人员标准,并可协商。
应聘者须提供的材料:
应聘者须提供的材料包括中文或英文的个人简历,学历、学位证书,职称和获奖证书(复印件),任职证明,近五年承担的科研项目或取得的成绩,受聘后的工作设想和目标。申请材料(可提交电子文档)提交期限是2011年 1月 31日。
招聘程序和方法:
南京大学及纽约大学理工分校将成立委员会负责招聘工作。招聘程序为:
申请和材料递交; 书面评审和资格审查;
面试和答辩。经管委会批准,具有适当学术及工作背景的候选者将被任命为非终身聘用的执行院长。
联系方式:
联系电话:86-025-8359-6958
联系地址:南京市汉口路22号 南京大学国际学院
邮政编码:210093
电子邮箱:linchen@nju.edu.cn or chang@poly.edu
联系人: 林晨
Executive Dean,Nanjing University and NYU-Poly Joint Institute for Innovation
and Entrepreneurship
The Institute, currently under construction in Xianlin University Town at
Nanjing, Jiangsu Province in China, is organized under the auspice of Nanjing
University, but governed by a Joint Administrative Council (JAC) with
representation from both Nanjing University and Polytechnic Institute of New
York University. It now invites national and international applications and
nominations for the position of Executive Dean. Its objectives include but not
limited to the following:
•Educate future leaders in science, engineering, management and other selected
areas
•Foster curricular, instructional and research collaboration between faculties
from the two universities
•Provide advanced training in innovation, technology and management to support
the continuing and professional development of professionals working in
domestic and multinational corporations, as well as in public sector
•Implement, with the support from public and private sources, innovative and/or
entrepreneurial programs to help sustain the social and economic vitality of
Nanjing and its neighboring cities in Yangtze River Delta region.
The Executive Dean, who is appointed by and reports to JAC, is the Chief
Executive Officer in charge of all administrative, financial and program
development aspects of the Institute, including securing funds by grant,
contract and/or individual donation to support the program.
The successful candidate must be able to communicate effectively in both
English and Chinese, but needs not be a Chinese or American citizen. He/she
must demonstrate leadership skills and a proven successful record in either
industry or academia. Work experience with a multinational corporation in both
U.S. and China is preferred but not required. A minimum work experience of 10
years beyond the Bachelor degree is required; graduate degrees either in a
technical or management field are preferred. The candidate with suitable
academic background and credentials may be appointed to a non-tenure-track
faculty position at either university upon the review and approval by the
appropriate entities of that university. Other qualifications include:
•The ability to develop an engaging, challenging vision for enhancement in
teaching, research and program development in support of the Institute’s
mission
•The ability to be a catalyst for change and to productively engage staff and
students in programmatic innovation
•A commitment to firm, objective and ethical decisions
•Strong academic and fiscal management abilities, including the willingness to
delegate appropriately
Salary will be based upon skills and experience related to this position and
is expected to be set at the high-end for a senior faculty and/or administrator
in China, and is negotiable. An interested candidate should forward his/her
application letter in either Chinese or English, together with his/her resume
and other related documents, by e-mail to Chen Lin, International College,
Nanjing University, Nanjing, China 210093, Phone: 025-83596958, email:
linchen@nju.edu.cn; copy to chang@poly.edu. Review of applications will start
immediately and continue until the position is filled.
|
 |
|
|
在纽约这个多元文化的氛围下, 为了向美国主流社会介绍中华文化的这一重要传统
节日,同时以新的文化形式庆祝中国春节,纽约北京同乡会发起、联合美国美东天
津同乡会、美国上海总商会、纽约山东同乡会、美东河南同乡会共同主办,纽约华
人总商会、美国文化交流协会、华人选民协会协办,举行“欢聚纽约”2011春节晚
会。晚会将于2011年1月22日晚8点在法拉盛江邦高中举行。
我们举办春节联欢晚会的目的是庆祝中国最重要的传统节日春节,介绍中国传统文
化,促进社区不同族裔的文化交流与融合,超越种族和政治。目前春节演出各项准
备工作正在按计划紧张进行,演员阵容空前,将是春节前夕法拉盛地区的一场令人
期待的文化盛会,是京津沪鲁豫五省市社团及协办单位共同为社区侨胞送上的一份
新春祝福。
多个社团联合举办春节文艺演出晚会,,为我们带来一股清新的文化春风,展示了
我们华人社区的和谐和团结。值此新春佳节到来之际,我们恭祝大家兔年平安健康,
事业发达,家庭幸福!
主办
纽约北京同乡会会长 胡洁
美东天津同乡会会长 蓝建戈
美国上海总商会主席 吴恺
美国纽约山东同乡会会长 焦志侠
美东河南同乡会会长 苏殿奎
演出时间:2011年1月22日(星期六)晚8点
演出地点:法拉盛江邦高中(John Bowne High School)
购票联系人如下:
纽约北京同乡会 方旭 718-353-7182, 赵绍丽 718-321-8099.
|
 |
|
|
布莱茵公园杂耍(Juggling)表演,免费杂耍课, 测试你的协调性.
1月3-7日,每天中午12点至1点。
地点:曼哈顿中城布莱因公园(Bryant Park)西南角。40至42街之间,大图书馆后面。
交通:地铁Times Square站。
电话:212-620-0619。
票价:免费。
网站:www.bryantpark.org
|
 |
|
|
在這喜迎新年之際,華師電影公司為在北美的所有華人獻上了一份豐厚的大禮。馮小剛最新賀歲片《非誠勿擾2》與2010年12月24日在北美地區AMC院线與國內同步上映,這也是華語電影市場的首次全球同步上映。
兩年前《非誠勿擾1》,馮小剛以“馮氏幽默”贏得廣大影迷欣賞,拿下3億5000萬元人民幣票房,成為賀歲檔票房冠軍。最新統計資料顯示,《非誠勿擾2》已經在24日成功破億,3天破億的成績平了《唐山大地震》及《阿凡達》的歷史最快破億紀錄。與此同時,該片在北美地区同步上映後票房也如內地一般火爆。只要有“非誠勿擾2”上映的影院,幾乎都在平安夜和聖誕夜出現全院滿座的場面,佔據好幾家影院的頭位票房。在竞争激烈的聖誕週末,《非2》在美国雖然只有 13個影院放映,卻成為了全美總票房的21名,而單場平均票房憑$9114高踞全加第六位. 洛杉矶Monterey Park市的AMC Atlantic Times成為這个平安夜和耶誕節兩天該影院票房的第一位。
該片將從12月24日起在全美華人聚集地15家AMC戲院上映,其中包括:洛杉磯5家、紐約5家、三藩市3家、華盛頓1家和波士頓1家。並且根據各地不同影迷的需求,還在不短增加院線,並且預計放映2周,我們希望讓更多的華人看到原汁原味的華語電影。
以下是全美放映《非誠勿擾2》的所有AMC院線位元址以及聯繫方式:
洛杉矶:
AMC ATLANTIC TMES SQ. 14 PHONE: 626-407-0240
450 N ATLANTIC AVE MONTEREY PARK, CA 91754
AMC PUENTE HILLS 20 PHONE: 626-810-7949
1560 S AZUSA AVE CITY OF INDUSTRY,CA 91748
AMC SANTA ANITA 16 PHONE: 626-321-4270
400 S BALDWIN AVE STE 940-U ARCADIA, CA 91007
AMC TUSTIN 14 PHONE: 714-258-7036
2457 PARK AVE TUSTIN,CA 92782
AMC MONTEBELLO 10 PHONE: 323-722-4583
1475 N MONTEBELLO BL. MONTEBELLO,CA 90640
纽约:
AMC NEWPORT CENTRE 11 PHONE: 212-982-2116
30-300 MALL DRIVE WEST JERSEY CITY, NJ 07303
(此劇院1月7日為放映最後一天)
AMC KIPS BAY 15 PHONE: 212-447-0638
570 SECOND AVE NEW YORK, NY 10016
(此劇院1月8日為放映第一天)
AMC EMPIRE 25 PHONE: 212-398-2597
234 W 42ND ST. NEW YORK,NY 10036
AMC BAY TERRACE 6 PHONE: 718-631-0382
211-01 26TH AVE BAYSIDE, NY 11360
AMC VILLAGE 7 PHONE: 212-982-2116
66 THIRD AVE(11TH ST.) NEW YORK,NY 10003
旧金山(三藩市):
AMC CUPERTINO SQ 16 PHONE: 408-252-5960
10123 N. WOLFE RD.CUPERTINO,CA 95014
AMC METREON 16 PHONE: 415-369-6201
101 FOURTH ST.SAN FRANCISCO CA 94103
AMC MERCADO 20 PHONE: 408-919-0285
3111 MISSION COLLEGE BL. SANTA CLARA CA 95054
华盛顿:
AMC RIO CINEMAS 18 PHONE: 408-252-5960
10123 N. WOLFE RD.CUPERTINO,CA 95014
波士顿:
AMC BOSTON COMMON 19 PHONE: 617-423-2569
175 TREMONT ST.BOSTON,MA 02111
(地址與院線有所增加與更改,請大家注意,不要錯過了影院的放映時間。)
華獅電影公司所有的工作人員希望大家支援華語電影,支持我們國人的文化,让你的朋友、家人一起来感受这顿新年大餐。有了你們的支持我們才會把更多更好的華語電影帶到北美來,讓所有在海外的華人,也可以與國內同時欣賞到國內一線的大片。
關於《非誠勿擾2》的更多訊息,放映影院和時間表請到該片的網頁 www.chinalionentertainment.com/ifyouaretheone2.
華獅公司下一部將會帶給海外華人同步上映的電影是由劉德華和鞏俐首次合作主演的 《我知女人心》。這部電影改編自曾經由梅爾.吉布森和海倫.亨特主演過的經典電影《what wowan want》,將於2月3日大年初一和北美的觀眾見面。在即将到来的农历年,有刘德华,巩俐要陪海外的华人过年了!
About China Lion Film Distribution®
China Lion 是一家由總裁與大股東 ─ 中國的 Jiang Yanming 與紐西蘭 Milt Barlow 的Incubate公司,共同合資的企業。這項合作將使 China Lion 每年向美國以及多倫多和渥太華的 AMC ; 溫哥華的Cineplex 提供多至 15 部獨家與中國同步上映的電影。更多資料請流覽: www.ChinaLionEntertainment.com.
联系方式CONTACT::
CECILIA CHEN VP/Sales & Marketing
Phone: 626-429-1048
E-mail:cicifish1@gmail.com
VIVI REN Production Coordinator
Phone: 213-309-8072
E-mail: vivi8837@gmail.com
-
CHINALION FILM DISTRIBUTION INCO.
Chinese Films to AMC Theatres USA & Canada
Vivi Ren 213-309-8072
E-mail: vivi8837@gmail.com
vivi8837@me.com
ADD:1010 Wilshire Blvd # 701 Los Angeles CA 90017
|
 |
|
|
Richard Harris 首届“盛世华章”-- 暨2011纽约春节联欢晚会
将于1月29日,7:30 pm在皇后大学剧院隆重举行!
欲知详情,请电: 212-760-1508 或email: info@richardharrisusa.com
由美國湖南商会主辦、Richard Harris 公司承辦的首届“盛世華章”文化慶典暨2011年紐約春節聯歡晚會將於2011年1月29日在法拉盛皇後大學藝術劇院隆重舉行。届時中國駐紐約使館領導、紐約市的貴賓、眾參兩院數位議員將蒞臨晚會現場,中國大陸、旅美華人及美國本土藝術家將聯袂上演一場美輪美奐的節目,意在促進中美文化交流,使公司文化和藝術相交融,增進中美兩國人民之間的友誼,讓廣大旅美華人歡度一個喜慶祥和的傳統佳節。
晚会门票将进行现场抽奖活动,凭票号电脑随机摇奖。奖品丰富包括:(IPAD、大屏幕彩电、Richard Harris 全毛西装、意大利RH围巾、钱包、BEST BUY购物卷等礼品)
承办:Richard Harris Men`s Wear
Email: sales@richardharrisusa.com
网站:http://www.richardharrisinc.com
票务:http://www.hneta.org/index.php
212-760-1508
票价暂定为$88,$68,$48,$28
Richard Harris Incorporated in partnership with Non-Profit Organization, HNETA will be hosting, Cultural Expansion - A Celebration, in honor of The Chinese New Year on January 29th, 2011 at 7:30 pm. The event will take place at the Kupferberg Center of Queens College. The New Year’s Celebration will include performances by talented performer’s such as, Li Yugang, Jianwei Han, He Yi, The Hunan Opera, The Sichun Opera and the Magical Mask Change as well as coverage by top Chinese Media Outlets and American Press.
New York City is the most culturally diverse city in America and arguably in the world. Richard Harris Incorporated representing a similar view and history would like to acknowledge this by bringing together our two predominant cultures to celebrate The Chinese New Year with the city of New York.
Richard Harris Inc. has two Men’s Fashion Brands, that respectively represent this diversity. American Chang which represents American and Chinese Cultures and Richard Harris blending American, British and Italian cultures . This is one of the main reasons that this opportunity became of such importance to us. An opportunity to not only celebrate the Chinese New Year, which is part of the Chinese culture but to be able to share it and our fashion with the community of Queens and the city of New York. America is built and founded upon the unification of these unlikely counterparts. The beauty that every culture has something unique and rich to bring to each other. We not only want to show the beauty of the Chinese Culture and The Chinese New Year but also of the American culture and all the cultures that represent it.
We hope that you will join us for this event and that you will open up to expanding your knowledge and culture.
To find out more information, please contact info@richardharrisusa.com or call 212-760-1508.
Cultural Expansion - A Celebration
Richard Harris INC.
(New York, NY)
|
 |
|
|
浩成、冷暖气工程公司TOP H.V.A.C.INC.有:注册牌照专业安装维修雪柜,冷房,抽气,电路水喉,中央空调,暖气系统,请电:718-808-3886(贤)JOHN Liang 或 电:718-200-2655(亮)KEVIN
有:注册牌照专业安装维修雪柜,冷房,抽气,电路水喉,中央空调,暖气系统,请电:718-808-3886(贤)JOHN Liang 或 电:718-200-2655(亮)KEVIN
有:注册牌照专业安装维修雪柜,冷房,抽气,电路水喉,中央空调,暖气系统,请电:718-808-3886(贤)JOHN Liang 或 电:718-200-2655(亮)KEVIN
有:注册牌照专业安装维修雪柜,冷房,抽气,电路水喉,中央空调,暖气系统,请电:718-808-3886(贤)JOHN Liang 或 电:718-200-2655(亮)KEVIN
有:注册牌照专业安装维修雪柜,冷房,抽气,电路水喉,中央空调,暖气系统,请电:718-808-3886(贤)JOHN Liang 或 电:718-200-2655(亮)KEVIN
有:注册牌照专业安装维修雪柜,冷房,抽气,电路水喉,中央空调,暖气系统,请电:718-808-3886(贤)JOHN Liang 或 电:718-200-2655(亮)KEVIN
有:注册牌照专业安装维修雪柜,冷房,抽气,电路水喉,中央空调,暖气系统,请电:718-808-3886(贤)JOHN Liang 或 电:718-200-2655(亮)KEVIN
有:注册牌照专业安装维修雪柜,冷房,抽气,电路水喉,中央空调,暖气系统,请电:718-808-3886(贤)JOHN Liang 或 电:718-200-2655(亮)KEVIN
有:注册牌照专业安装维修雪柜,冷房,抽气,电路水喉,中央空调,暖气系统,请电:718-808-3886(贤)JOHN Liang 或 电:718-200-2655(亮)KEVIN
有:注册牌照专业安装维修雪柜,冷房,抽气,电路水喉,中央空调,暖气系统,请电:718-808-3886(贤)JOHN Liang 或 电:718-200-2655(亮)KEVIN
|
 |
|
|